医師・医学生のためのスライド共有

Antaa Slide
診療科
特集

お知らせ

ログイン
コモンとアンコモンをメタ認知して、脳梗塞の誤診を減らす。 L001.png

関連テーマから出会おう。

閲覧履歴からのおすすめ

Antaa Slide
【デキレジ】腰椎穿刺 - 確実にキメるための7step -

【デキレジ】腰椎穿刺 - 確実にキメるための7step -

やまて

続けて閲覧
もう迷わない!外来でのふるえの診かた

もう迷わない!外来でのふるえの診かた

エスディー@脳神経内科

続けて閲覧

1/39

関連するスライド

【デキレジ】腰椎穿刺 - 確実にキメるための7step -

【デキレジ】腰椎穿刺 - 確実にキメるための7step -

やまて

635970

1405

もう迷わない!外来でのふるえの診かた

もう迷わない!外来でのふるえの診かた

エスディー@脳神経内科

63880

336

コモンとアンコモンをメタ認知して、脳梗塞の誤診を減らす。

投稿者プロフィール
山本大介
Award 2024 受賞者

医療法人徳洲会湘南鎌倉総合病院

21,938

71

投稿した先生からのメッセージ

脳梗塞診療を一通り勉強し終えた後に学んでいただくとレベルアップにつながるレクチャーです。

本スライドの対象者

医学生/研修医/専攻医/専門医

投稿された先生へ質問や勉強になったポイントをコメントしてみましょう!

0 件のコメント

コメントするにはログインしてください

関連するスライド

【デキレジ】腰椎穿刺 - 確実にキメるための7step -

【デキレジ】腰椎穿刺 - 確実にキメるための7step -

やまて

やまて

635,970

1,405

もう迷わない!外来でのふるえの診かた

もう迷わない!外来でのふるえの診かた

エスディー@脳神経内科

エスディー@脳神経内科

63,880

336

ER・一般外来のよくある疾患 きちんと診断できますか【その⑦:片頭痛】

ER・一般外来のよくある疾患 きちんと診断できますか【その⑦:片頭痛】

小栗太一

小栗太一

12,590

69

#2 肺血栓塞栓症【病態から外来診療まで】

#2 肺血栓塞栓症【病態から外来診療まで】

うし先生

うし先生

149,631

382


山本大介さんの他の投稿スライド

すべて見る


テキスト全文

脳梗塞の誤診を減らすためのメタ認知

#1.

Department of Neurology, Shonan Kamakura General Hospital Daisuke Yamamoto コモンとアンコモンを メタ認知して、 脳梗塞の誤診を減らす。

#2.

Introduction 診断に至るということは、その疾患が持つ特徴を理解し、 それにどれくらい当てはまるかを検討し、行われるものです。 その作業は、より「典型的」なその疾患の臨床像に どれくらい似ているか、によって検討されます。 一方でどのような時に、誤診が生じやすいか?というと、 典型的でない臨床症状を呈した時、と言えます。 非典型的でも脳梗塞の可能性がある、ということをメタ認知し、 典型的と非典型的の思考を俯瞰してみる、 一歩上の思考によって、誤診を減らすことがこのプレゼンテーションの目標です。

脳梗塞の典型的な症状と非典型的症状

#3.

典型的な脳梗塞の症状

#4.

脳梗塞の典型像についてまずは整理する。「発症様式は突発発症もしくは急速進行をする経過で、局所神経症状を来す疾患が脳梗塞らしい」と言える。片側性上下肢の運動±感覚障害と言語障害は、前方循環系の脳梗塞を示唆する。めまい感、ふらつき、複視、難聴、片麻痺、半盲症状は、後方循環系の脳梗塞を示唆する。脳梗塞を疑う症候として悩みが少ないのは、突発発症/急性発症経過で片麻痺、構音障害、失語、半盲を呈する場合だろう。これら症状で脳梗塞を想起することは容易である。 脳梗塞の典型像

#5.

典型的にだまされない? そしてこのプレゼンテーションではこの典型像とは異なる、非典型的な症状を呈する脳梗塞のカメレオンを議論する。言い換えるなら、脳梗塞の誤診(過小評価)につながりうる症候を取り上げ、あえてこの症状に注目することで脳梗塞診断の見落としを少しでも減らすための注意事項を確認していく。「典型的であるという常識」にとらわれず、非典型的症状であっても脳梗塞の可能性を検討し、誤診を少しでも減らすことを目標に話を進めていく。

脳梗塞診断のヒントとMRIの重要性

#6.

脳梗塞の臨床像のヒント 初めに脳梗塞を見逃さず想起するための診断のヒントについて考えてみる。1つ目には、発症様式が「急に」起こった病歴では脳梗塞を想起すること。2つ目には、血圧上昇を伴う病態なら脳梗塞を想起するヒントにすること。そして3つ目には、動脈硬化のリスクを伴う患者に発症しうる事前確率(ラクナ梗塞・アテローム血栓性脳梗塞の事前確率)に注目すること。4つ目には、心疾患を背景に持つ患者に発症しうる事前確率(心原性脳塞栓症の事前確率)に注目すること。患者さんの症状が典型的であれ非典型的であれ、いずれの症候を愁訴として訴えたとしてもこれら要素を合わせて認める場合には、慎重に脳梗塞の可能性を検討するヒントにして欲しい。

#7.

脳梗塞診断の切り札はMRIである。そのMRIをめぐる問題は2つ挙げられる。 1つ目の問題は脳梗塞に非典型的な症状であった場合においても、「MRI検査を施行するというアクションが選べるかどうか?」の問題である。 2つ目の問題は仮にMRIを施行したとして、「検査の偽陰性がありうる」という問題である。 脳梗塞診断の難しさ、 MRI検査の注意点

#8.

今一度、脳梗塞診断の ヒントになるゲシュタルト。 前者については診断の部分で記載したように、 ①突発発症/急性経過である ±②血圧上昇がある ±③血管障害リスクがある ±④心疾患の併存症がある といった背景がある場合には、症状が仮に非典型的であってもMRI施行を検討することになる。

MRI検査の偽陰性とその克服方法

#9.

MRIの偽陰性を 克服するために① 後者に関しては、MRI検査は結果が偽陰性の可能性がありうる、という前提で診療を進めていく必要がある。そして、DWI偽陰性は2つの要因で起こりうることを押さえておく。1つは、MRI施行が発症早期の場合に起こりうる「時間的偽陰性」の要因である。もう1つは後方循環系脳梗塞で起こりうる「部位的偽陰性」の要因である。そして脳幹部梗塞ではこの部位的偽陰性が多いことが知られている。時間的偽陰性を克服するためには、「入院後に時間を空けて2回目のMRIを再検すること」で克服可能である。

#10.

MRIの偽陰性を 克服するために② 部位的偽陰性を克服するためには、「DWIの2方向(水平断に加えて冠状断を追加)の撮像」で克服可能である。撮像方向を加えることで見落としを減らすことが出来る。以上より、現実的な対応は次の如くとなる。通常のプロトコールの撮像で初回MRI検査におけるDWIが陰性だったとする。その場合、「入院翌日に、DWIを2方向で再度撮像する」ことで、時間的・空間的偽陰性を排除することが可能になる。MRIを診断の切り札として行う脳梗塞診療の偽陰性によるピットフォールも慎重に意識することで、脳梗塞診断は不安を減らすことが出来る。

非典型的な脳梗塞とめまい症状

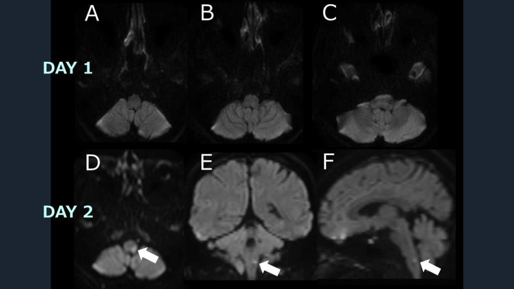
#11.

DAY 1 DAY 2

#12.

非典型的な脳梗塞 めまい

めまい症状の見極め方と診断の注意点

#13.

めまい症状は、臨床で最も重要な脳梗塞のカメレオンである。 めまい症状を呈する場合には良性発作性頭位めまい症などの良性の内耳性疾患であることが頻度としては多い。しかしながら、めまい症状の原因として後方循環系脳梗塞の可能性もまれながら認められ、その区別は正直難しい。 めまい症状はまさに臨床医泣かせの症候である。 脳梗塞を めまいで間違える。

#14.

めまいを生じる脳梗塞の場合、基本的にはめまい以外の他の症候を合わせて認めることが多い。めまい以外の症状も併存する場合には、内耳性めまいよりはいわゆる中枢性めまいを示唆するヒントになる。 一方で、めまい感の愁訴が単独の症状、もしくは一過性の症状として現れる場合に誤診のリスクが高まる。15,000人以上の脳梗塞患者を対象としたメタ分析では、脳梗塞の誤診率は9%で、そのうち単独のめまい症状が約15%を占めていたとされる1)。 脳梗塞を めまいで間違える。 Neurology. 2017;88(15):1468-1477.

#15.

めまい症状の見極め方。 めまい感のみの症状で末梢性か中枢性かの診断を下すのは困難なことである。ここでは、ベッドサイドでの3段階の眼球運動検査 HINTS2) が役立つ。ヘッドインパルステスト正常、注視方向性眼振、またはskew deviationの存在は、脳卒中に対して 100%の感度と96%の特異度を有することが示されている。 Acad Emerg Med. 2013 Oct;20(10):986-96.

#16.

めまい症状の見極め方。 やはり、①突発発症/急性経過である±②血圧上昇がある±③血管障害リスクがある±④心疾患の併存症があるというヒントと共に、症候として末梢性めまいとして説明困難と考えた場合には中枢性めまいの可能性を検討し、MRI検査で脳梗塞の可能性を追求する必要があろう。そして繰り返しになるが、めまい感の原因になる脳梗塞では脳幹部梗塞がありうることから、そのDWI評価には偽陰性リスクがありうることにも留意が必要になる。

意識障害を伴う脳梗塞の特徴

#17.

非典型的な脳梗塞 意識障害

#18.

意識障害を来す病態は多様である。意識障害のみの症状でまずは脳梗塞を疑う、という発想はやや短絡的な思考であることは否めない。なぜなら、多様な病態が意識障害を認める原因になるからである。しかしながら、意識障害のみで発症する脳梗塞はありうる。ある高次機能を備えた大学病院において「意識レベルの低下/昏睡」の症候が、脳梗塞誤診理由の約20%を占めていたという報告がある3)。 脳梗塞を 意識障害で間違える。 Neurology. 2015 Aug 11;85(6):505-11.

#19.

意識障害が前景にある脳梗塞の話題において、有名なのはPercheron動脈の脳梗塞である。Percheron動脈梗塞は片側性ないしは両側性の視床梗塞を引き起こす可能性があり、記憶障害、意識レベルの変動、精神状態が症状として現れる。つまるところ脳梗塞は、意識障害・精神症状・認知機能障害のみで発症し得ると言える。よって、これらを診断の過小評価につながる脳梗塞の症状として意識しておく必要がある。 脳梗塞を 意識障害で間違える。

#20.

非典型的な脳梗塞 頭痛

頭痛を伴う脳梗塞の誤解と注意点

#21.

一般的に「脳梗塞では頭痛症状は来しにくい」と理解されている。頭痛を愁訴に脳梗塞を心配して受診される患者さんもおられる。その場合には「脳梗塞では頭痛は来しにくいですよ。」という説明ができる必要がある。その理屈としては、頭痛を知覚する三叉神経は硬膜に存在し、脳実質障害による脳梗塞では三叉神経症状としての疼痛症状を認めにくい、という説明による。しかしながら、一方で頭痛症状を呈する脳梗塞症例はありえる。脳梗塞患者の約15%が発症時に頭痛を示したという報告がある4)。 脳梗塞では、 頭痛はない??? Eur J Neurol. 2021 Mar;28(3):852-860.

#22.

ある研究では、非特異的な頭痛の診断を受けて救急外来から帰宅した対象患者2,101,081人のうち約0.5%が、30日以内に虚血性脳卒中を含む重篤な神経学的症状を呈したという報告もある5)。この事実からは、頭痛症状で救急外来を受診した患者さんの評価とともに、その後のアクションを決定していくことの難しさを感じる。しかしながらこの文脈からは、頭痛症状はいずれにせよ問題のある大脳障害に関連する病態のサインとなりうる可能性について注意する必要があることを、改めて心得ておく必要があろう。 脳梗塞では、 頭痛はない??? Ann Emerg Med. 2019 Oct;74(4):549-561.

#23.

非典型的な脳梗塞 単麻痺

単麻痺と脳梗塞の関連性

#24.

単麻痺での脳梗塞はありうる。 孤立性の不全単麻痺症状は、全脳梗塞の1%未満で発生する6)。これはまれな脳梗塞による症状である可能性があり、末梢神経障害として誤診される可能性もあり注意が必要である。Cortical hand(運動野の手の支配部分に限局した障害)を認める脳梗塞は橈骨神経障害や尺骨神経障害を模倣する可能性がある。しかしながら、この場合は筋力低下の分布パターンが特定の末梢神経障害による分布と一致せず、注意深い身体検査が中枢神経系または末梢神経系の関与を区別するのに役立つ可能性がある。同様に、純粋な下垂足を呈しうるCortical foot(大脳皮質障害による下垂足)を認める脳梗塞は、腓骨神経障害と混同される可能性がありうる。 BMC Neurol. 2022 Sep 2;22(1):331.

#25.

症状に納得いかないなら脳MRI。 単麻痺症状で橈骨神経麻痺や腓骨神経麻痺を疑った症例でも、症候が末梢神経障害として納得がいかなかった場合には脳MRIを施行しておくことは重要である。もしくは、このような症候を評価する場合に神経診察に自信がないなら、脳MRIは施行しておくことは賢明なアクションであると言える。また、発症様式が圧迫性末梢神経障害として了解しにくい場合にもMRI評価は検討してもよかろう。

#26.

非典型的な脳梗塞 けいれん

けいれん発作と脳梗塞の関係

#27.

脳梗塞とてんかん発作の関係は難しいテーマである。そもそも、てんかん発作は脳梗塞のミミック(脳梗塞に似て、しかしながら脳梗塞でない疾患)として頻度の高い病態である。てんかん発作を見たときミミック(脳梗塞ではない)かもしれない、と考えて対応すると同時にカメレオン(脳梗塞である)の可能性があるかも、とも考えさせられるのがてんかん発作の難しさである。虚血性脳卒中患者の3.1%が発症時または最初の24時間以内にてんかん発作を起こすとされている7)。この場合にてんかん発作が脳梗塞のカメレオンとなる。 けいれん発作は、 ミミックとカメレオン。 Epilepsia. 2008 Jun;49(6):974-81.

#28.

若年であることは脳梗塞発症時の発作危険因子として認識されており、小児脳梗塞の約5分の1がてんかん発作を起こすという報告がある8)。てんかん発作をみた場合、若年者である場合にはより脳梗塞の可能性についての留意が必要かもしれない。脳梗塞のミミックとしてもカメレオンとしても検討が必要なてんかん発作であるが、ともかくてんかん発作をみた時には診断の過小評価を避けるために、そこに脳梗塞の可能性はないか?と留意しておくことは重要である。初発のてんかん発作であれば、その時点でMRI検査を施行しておくことの無難さはこの理由からも説明できる。 けいれん発作を 過少評価しない。 J Pediatr. 2011 Sep;159(3):479-83.

#29.

非典型的な脳梗塞 不随意運動

#30.

不随意運動での脳梗塞はありうる。 脳梗塞関連の運動過多性運動障害(hyperkinetic movement disorders : HMD)は、全脳梗塞のうち1~4%で観察される稀な臨床症状である9)。具体的には、HMDは片側上下肢の不随意運動であり、ヘミヒョレア/へミバリズムとして観察される。HMDは、脳梗塞の発症時に一過性の症状として発生することもあれば、遅発性の後遺症として現れることもありうる。 J Stroke Cerebrovasc Dis. 2018 Sep;27(9):2388-2397.

DWI陰性の脳梗塞とその診断アプローチ

#31.

不随意運動での脳梗塞はありうる。 HMDは脳梗塞発症時に認められた場合には非常に稀であることから脳梗塞が見落とされ、十分に治療されていない可能性がありうる。大脳基底核、視床下核、視床に関わる深部梗塞を引き起こす穿通枝梗塞は、HMDの原因となりうる脳梗塞の一般的なサブタイプである。高齢者において突発発症の片側性不随意運動(ヘミヒョレア/へミバリズム)を認めた場合には、その原因に脳梗塞は関与していないか?と考える発想が重要である。以上のことから、突発/急性発症の不随意運動を愁訴に来院された場合には原因評価にMRI検査は必要である。

#32.

非典型的な脳梗塞 DWI陰性

#33.

脳梗塞を診断するためのDWIの感度は92%、特異度は75%とされる10)。DWIは発症後1時間以内の脳梗塞を特定できる。ただし、脳梗塞の約7%は DWIで陰性になりうる11)。DWI陰性の脳梗塞患者は先述のごとく、脳幹部梗塞で多く報告される。例えばMLF症候群や片麻痺症状を呈するラクナ梗塞の場合によく経験される。後方循環障害による脳梗塞患者は、前方循環障害の脳梗塞患者よりも DWIが陰性となる可能性が5倍高くなる。最初のDWIが陰性だった脳梗塞疑いの患者の約3分の1が、2回目のスキャンで高信号に変化した、という報告もある10)。 DWIは信じられない? Eur J Radiol Open. 2023 Nov 4:11:100533.

#34.

先述の如く、脳幹部梗塞疑いの場合には1度のMRI検査でも脳梗塞は否定しきれない、という意識は重要である。症候的に脳幹部梗塞の可能性が示唆されるにも関わらずDWI陰性だった場合には、2度目のMRI撮影を行うというアクションが重要である。 この場合には脳梗塞に準じて入院対応とし、2回目のMRI検査を行う。時間的・部位的偽陰性を克服するための「2回目のDWIによる2方向撮像」を活用し、診断を明らかにしていく。 DWIの偽陰性を克服する。

診断における典型像と非典型像のバランス

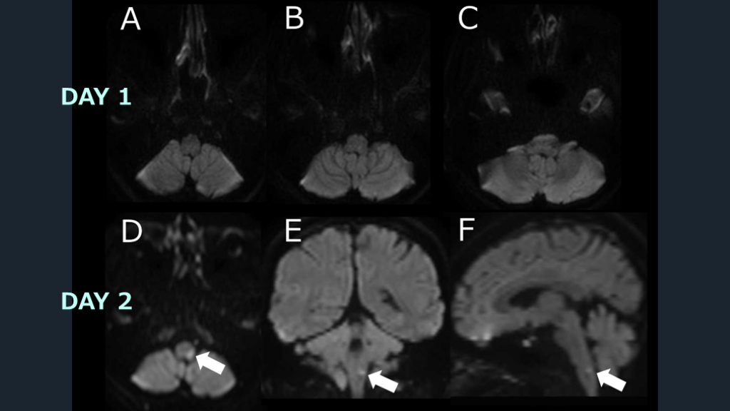
#35.

DAY 1 DAY 2

#36.

summary

#37.

非・典型的に どこまで慎重になるか? 診断とは典型像を知ることから始まる。そして非典型像のカメレオンを知ることは誤診を減らすために重要である。ただし、あまりにもカメレオンを意識しすぎると診断の精度が下がってしまう。診断においては典型像と非典型像への上手な意識配分を行うことが誤診を減らす一助になるのだろう。ただし、言うは易し、行うは難しではある。

#38.

THANK YOU


山本大介さんのインタビュー

山本大介さんのインタビュー
Antaa Slide

医師・医学生のためのスライド共有

Antaa QA

医師同士の質問解決プラットフォーム

App StoreからダウンロードGoogle Play Storeからダウンロード

会社概要

Antaa, Inc. All rights reserved.

Follow us on Facebook
Follow us on Twitter