医師・医学生のためのスライド共有

Antaa Slide
診療科
特集

お知らせ

ログイン
症例で学ぶ神経診療の基本:頭痛はやっぱり難しい! L001.png

関連テーマから出会おう。

閲覧履歴からのおすすめ

Antaa Slide
【漫画版:物語でわかる診断推論】トナカイの涙と雪降る奇跡のクリスマス【Antaa X'mas 2025】

【漫画版:物語でわかる診断推論】トナカイの涙と雪降る奇跡のクリスマス【Antaa X'mas 2025】

小栗太一

続けて閲覧
違法薬物使用を疑ったら

違法薬物使用を疑ったら

バヤシ@救急集中治療

続けて閲覧

1/70

関連するスライド

【漫画版:物語でわかる診断推論】トナカイの涙と雪降る奇跡のクリスマス【Antaa X'mas 2025】

【漫画版:物語でわかる診断推論】トナカイの涙と雪降る奇跡のクリスマス【Antaa X'mas 2025】

小栗太一

4078

11

違法薬物使用を疑ったら

違法薬物使用を疑ったら

バヤシ@救急集中治療

31766

112

症例で学ぶ神経診療の基本:頭痛はやっぱり難しい!

投稿者プロフィール
山本大介
Award 2024 受賞者

医療法人徳洲会湘南鎌倉総合病院

76,249

171

投稿された先生へ質問や勉強になったポイントをコメントしてみましょう!

0 件のコメント

コメントするにはログインしてください

関連するスライド

【漫画版:物語でわかる診断推論】トナカイの涙と雪降る奇跡のクリスマス【Antaa X'mas 2025】

【漫画版:物語でわかる診断推論】トナカイの涙と雪降る奇跡のクリスマス【Antaa X'mas 2025】

小栗太一

小栗太一

4,078

11

違法薬物使用を疑ったら

違法薬物使用を疑ったら

バヤシ@救急集中治療

バヤシ@救急集中治療

31,766

112

【漫画でわかる診断推論】シロクマ先生と親子の謎の腹痛

【漫画でわかる診断推論】シロクマ先生と親子の謎の腹痛

小栗太一

小栗太一

7,243

28

2023.5.13改訂 細菌マニュアル ver.8

2023.5.13改訂 細菌マニュアル ver.8

新米ID

新米ID

426,904

1,413


山本大介さんの他の投稿スライド

すべて見る


テキスト全文

神経診療の基本と症例提示

#1.

症例で学ぶ! 「神経診療の基本を症例を通じてマスターする」 テーマ:頭痛はやっぱり難しい。 Daisuke Yamamoto Department of Neurology, Shonan Kamakura General Hospital

#2.

症例提示

#3.

50歳 男性 21時頃、食事をとっていた。 食後、咳嗽をきっかけに突発発症の強い頭痛があり、 救急要請に至った。 来院時も強い頭痛症状で落ち着かない様子だった。 頭痛発症後、2時間程度で症状は消失していた。 ER診療医は、「雷鳴様頭痛」として評価して入院となった。 既往歴:脂質異常症 内服薬:なし

突発発症の頭痛症状と評価

#4.

50歳 男性 頭痛について 突発発症 人生最悪の疼痛、「今までで経験したことない痛み」 頭痛症状は速やかにピークに到達。一時間程度で消失。 入院時点では:増悪寛解因子は明らかでない。 性状は拍動性ではない。 部位 :頭頂部 随伴症状:悪心 痛みで落ち着きなく頭を抱えて歩き回る。

#5.

二次性頭痛を考慮すべき条件は何が当てはまるでしょうか? QUESTION

#6.

Systemic symptoms including fever Neoplasm history Neurologic deficit (including decreased consciousness) Onset is sudden or abrupt Older age (onset after age 50 years) Pattern change or recent onset of new headache Positional headache Precipitated by sneezing, coughing, or exercise Papilledema Progressive headache and atypical presentations Pregnancy or puerperium Painful eye with autonomic features Post-traumatic onset of headache Pathology of the immune system or immunosuppressive therapy Painkiller overuse (includes analgesics, ergot, triptans) 二次性頭痛を 検討する SNOOP10

一次性頭痛と二次性頭痛の考慮

#7.

一時性頭痛を考慮するなら、 どのような思考が適切でしょうか? QUESTION 片頭痛の可能性はある? 緊張型頭痛の可能性はある? 三叉神経・自律神経性頭痛(TACs)の可能性はある? TACsなら追加聴取は?

#8.

一次性頭痛の概要 三つの頭痛の病歴はどうだったか? 片頭痛  :発作性に比較的重度の頭痛症状を呈する。体動で増悪。 緊張型頭痛:慢性的な軽度~中等度の頭痛症状。頭重感の訴え。 三叉神経・自律神経性頭痛:発作性の比較的短時間持続する強い頭痛。自律神経症状を伴う。

#9.

一次性頭痛の概要 三つの頭痛の随伴症状はどうだったか? 片頭痛:悪心を伴う。また閃輝暗点など視覚性前駆症状も伴う。 緊張型頭痛:肩こり、ストレス状態、抑うつ状態。 三叉神経・自律神経性頭痛:頭痛と同側に、自律神経症状                  (流涙、結膜充血、鼻漏、鼻閉など)を認める。

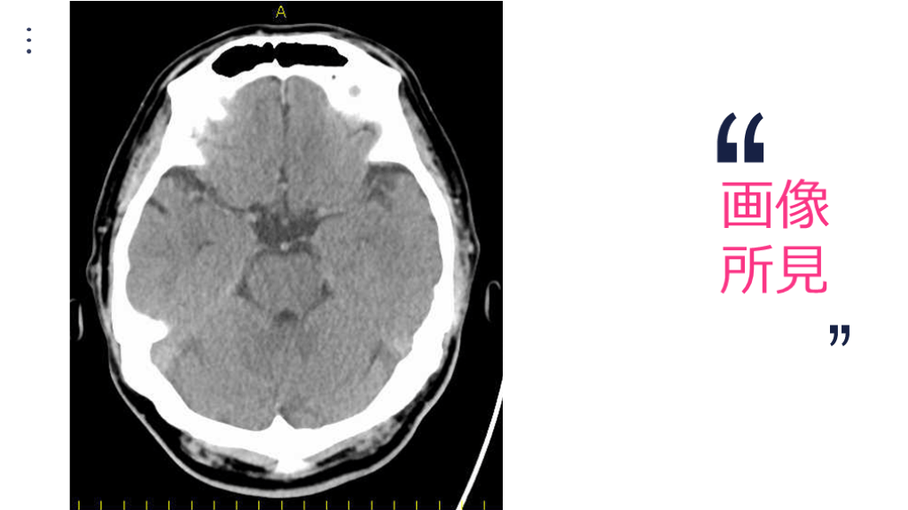
画像所見の重要性と解釈

#10.

画像 所見

#11.

画像 所見 FLAIR DWI

雷鳴様頭痛の定義と特徴

RCVSとTACsの鑑別診断

頭痛診断の国際基準と実践

#24.

雷鳴様頭痛 って何? 方針としては、 雷鳴様頭痛として考慮される  RCVSの可能性、  TACs(群発頭痛)の可能性 を考慮し、ベラパミル投与での入院経過観察を対応とした。

雷鳴様頭痛の病因と管理

#25.

鑑別診断

#26.

頭痛診断は、国際頭痛分類第 3 版に当てはめて診断する。 三叉神経・自律神経系頭痛(trigeminal autonomic cephalalgias:TACs)について。 頭痛性疾患の中で、TACsについては想起しにくく、知識を整理しておく必要がある。 一側の三叉神経領域の頭痛発作に,同側に流涙、結膜充血、鼻漏、鼻閉などの 自律神経症状を伴う頭痛疾患は、三叉神経・自律神経性頭痛と呼ばれる。 TACsって?

#27.

TACsの小分類として、 ①群発頭痛、 ②発作性片側頭痛、 ③持続性片側頭痛、④短時間持続性片側神経痛様頭痛発作 がある。 群発頭痛:TACsの中で最も頻度が高い。頭痛発作は15-180分。夜間・睡眠時に起こる、一側性の強い頭痛発作であり、1-2カ月間の群発期間がある。 発作性片側頭痛、持続性片側頭痛はインドメタシンが有効な頭痛である。ここでは、「インドメタシンでないと治療ができない頭痛がTACsに含まれている」、という知識が重要だろう。 TACsって?

#28.

雷鳴様頭痛 とは? 突然発症する非常に重度の頭痛 発症から1 分以内に最大強度に達する。 TCH を他の頭痛と区別する重要な特徴は、その進行の速さ。 極端な重症度だけでは不十分。

#29.

Etiologies of thunderclap headache UPTODATE:Overview of thunderclap headache

#30.

UPTODATE:Overview of thunderclap headache Etiologies of thunderclap headache

RCVSの臨床的特徴と経過

#31.

UPTODATE:Overview of thunderclap headache TCHのキーワード診断 持続する+TCH   =>RCVS 分娩+TCH     =>RCVS、静脈洞血栓症 外傷+TCH     =>脳動脈解離 発熱+TCH     =>中枢神経感染症(髄膜炎) 局所神経症状+TCH =>脳卒中

#32.

RCVSとは? 可逆性の脳血管攣縮を認める頭痛疾患の症候群。 TCHの原因疾患の一つ。 大半は良性経過だが、脳梗塞や脳出血を合併する場合もある。

#33.

UPTODATE:Reversible cerebral vasoconstriction syndrome RCVSで臨床的に重要な事項のまとめ 最大の鑑別疾患である、くも膜下出血を十分鑑別する。 再発性のTCHを認める。数日間にわたるTCHの病歴になる。 誘発因子がある:オーガズム、運動、急性ストレス、バルサルバ負荷  (緊張、咳嗽、くしゃみ)、入浴、水泳 MRAでのSpasm所見はあとから顕在化する。発症時はわからないことがある。一週間以内には出現する、と理解しておく。よって、フォロー画像は3-5日後に実施する。spasm所見は3か月以内には回復する。 脳梗塞を認める場合もあり、留意が必要。

#34.

50歳 男性 その後の対応: 入院翌日にMRIを再検。RCVS所見はなかった。 静脈洞血栓症、椎骨動脈解離は改めて否定した。 TACSの可能性も考慮しようと考えた。 入院後は夜間を中心に発作性の強い頭痛を一日に3-4回反復した。 RCVS、TACsを双方想定しながら対応しましょうとして、  DAY4に退院とした。 退院処方:ベラパミル 240mg/day, カロナール500mg 頓服

#35.

MRA DAY2

#36.

50歳 男性 外来経過: 一日に1-2回頭痛発作を認めた。 入浴によって誘発された。 排便によって必ず誘発された。排便に対する恐怖の訴えあり。 その後頭痛頻度は減っていった。 DAY 14に一過性の右片麻痺があり、ER受診。MRI再検した。

外来経過とMRI再検査の結果

#37.

画像 所見 DAY 14 MRA 悪化

反省点と今後の課題

まとめと今後の学び

#50.

画像 所見 DAY 30 MRA 改善

#63.

反省点 DAY2のMRI再検でRCVS所見がないので、RCVSを否定的と考えてしまった。 TCHについての理解が不十分だった。 RCVSの頭痛発作についての理解が不十分だった。頭痛発作を回避する指導が不十分だった。 中途半端にTACsも疑ってしまった。 脳梗塞になりそうだった。

#64.

discussion

#65.

discusssion 正しいRCVSのマネジメント① TCHかどうかを見極める。 TCHで鑑別しなければならない疾患を画像評価する。 RCVS患者の1/3が、最初の数日に神経症状をきたしうる。 TCHの場合には、数日の入院経過観察が妥当。 MRAの再検タイミング=>3-5日後。 脳梗塞リスクにも言及して対応する。

#66.

discusssion 正しいRCVSのマネジメント① 頭痛発作を避ける指導はあってしかるべき。 薬剤:血管収縮作用がありそうなものは中止。 誘発因子を避ける:運動、性行為、入浴、バルサルバ負荷となるもの。 本例は排便での息みで、頭痛発作が誘発されていた。

#67.

 ある疾患が想定されるが、診断基準に当てはまらないことは多い。一方で今回はTACsの要件を満たさないのに、こだわってしまった。    また、キーワード診断への偏重を批判的に考え、TCHを十分に理解していなかった。 QUESTION

#68.

まとめ

#69.

一次性頭痛の概要を理解する。 二次性頭痛の重要疾患を理解する。 キーワード・用語の正しい意味を知っておく。 TCHの取り扱いについて理解する。 RCVSについて理解する。


山本大介さんのインタビュー

山本大介さんのインタビュー
Antaa Slide

医師・医学生のためのスライド共有

Antaa QA

医師同士の質問解決プラットフォーム

App StoreからダウンロードGoogle Play Storeからダウンロード

会社概要

Antaa, Inc. All rights reserved.

Follow us on Facebook
Follow us on Twitter