医師・医学生のためのスライド共有

Antaa Slide
診療科
特集

お知らせ

ログイン
みんなの脳梗塞診療2025 L001.png

関連テーマから出会おう。

閲覧履歴からのおすすめ

Antaa Slide
抗アミロイドβ抗体薬(レカネマブ・ドナネマブ)の選び方/考え方

抗アミロイドβ抗体薬(レカネマブ・ドナネマブ)の選び方/考え方

山本大介

続けて閲覧
健康診断で要精査 糖尿病の対応方法

健康診断で要精査 糖尿病の対応方法

湯浅駿

続けて閲覧

1/147

関連するスライド

抗アミロイドβ抗体薬(レカネマブ・ドナネマブ)の選び方/考え方

抗アミロイドβ抗体薬(レカネマブ・ドナネマブ)の選び方/考え方

山本大介

4564

32

みんなの脳梗塞診療2025

投稿者プロフィール
山本大介
Award 2024 受賞者

医療法人徳洲会湘南鎌倉総合病院

248,892

775

投稿された先生へ質問や勉強になったポイントをコメントしてみましょう!

0 件のコメント

コメントするにはログインしてください

関連するスライド

抗アミロイドβ抗体薬(レカネマブ・ドナネマブ)の選び方/考え方

抗アミロイドβ抗体薬(レカネマブ・ドナネマブ)の選び方/考え方

山本大介

山本大介

4,564

32

健康診断で要精査 糖尿病の対応方法

健康診断で要精査 糖尿病の対応方法

湯浅駿

湯浅駿

116,663

842

顔面神経麻痺を診察するために覚えておくためのスライド~顔面神経麻痺の初期診療をマスターしよう!~

顔面神経麻痺を診察するために覚えておくためのスライド~顔面神経麻痺の初期診療をマスターしよう!~

音良林太郎

音良林太郎

107,950

675

初期研修医必見! 初期研修を乗り切るための 書籍・ツール・応援メッセージ

初期研修医必見! 初期研修を乗り切るための 書籍・ツール・応援メッセージ

Antaa運営事務局

Antaa運営事務局

90,964

296


山本大介さんの他の投稿スライド

すべて見る


テキスト全文

脳梗塞の診断と基本的知識

#1.

Department of neurology, Shonan Kamakura general Hospital Daisuke Yamamoto みんなの 脳梗塞診療2025

#2.

#1 脳梗塞の診断 まずは脳梗塞の診断の基本を学んでいく。

#3.

血栓性機序 VS 塞栓性機序

血栓性機序と塞栓性機序の理解

#4.

脳梗塞病態の基本 血栓性機序 VS 塞栓性機序 ●血栓症機序:動脈の局所性閉塞による。動脈硬化が原因の脳梗塞と言える。 ●塞栓症機序:いずれかで形成された塞栓子が、動脈閉塞に至るパターン。         心臓内血栓が一番コモン。       それ以外には、動脈壁の血栓や、下肢静脈血栓も塞栓源になりうる。

#5.

動脈硬化の二つの機序 まずは、動脈硬化が原因の脳梗塞から 血栓性機序:動脈硬化の結果、血管狭窄を来し、それより遠位での血流の減少によって脳梗塞に至る。 塞栓性機序:動脈に形成されたプラークが壊れて、より遠くの血管閉塞を来し、脳虚血を引き起こす。動脈原性塞栓症という。

#6.

血栓性機序の脳梗塞 小血管の動脈硬化による:ラクナ梗塞 脳深部(大脳基底核、内包、視床、橋)に血流する細い動脈(穿通枝という)の閉塞が起こる。 最も一般的な原因は、高血圧、加齢が関与する。

#7.

臨床像はラクナ症候群という特徴的な症候を呈します。 症状はこの症候群にあてはめられるので、症状からラクナ梗塞の診断を想起しやすいです。 知識があれば症状を聞いただけでも、MRI を撮る前からラクナ梗塞の診断をある程度予想可能になります。 ラクナ梗塞は一言で言うと、動脈硬化性変化による、 「細い血管が詰まる脳梗塞」と言えます.

#8.

麻痺だけ脳梗塞、として理解してよい。 つまり、構音障害+片麻痺。意識障害なし。 ラクナ症候群

#9.

大血管の動脈硬化が問題 アテローム血栓性脳梗塞 アテローム性動脈硬化症により、脳に血液を供給する太い頭蓋外動脈および頭蓋内動脈内の狭窄をきたす。 これを、アテローム血栓性脳梗塞という。 神経症状は、しばしば変動、寛解、または途切れ途切れに進行する (階段状増悪という)。

#10.

血管狭窄病変があればそれより以遠の血流障害が起こり、脳梗塞を生じることはイメージしやすい。 血管狭窄が原因で血流障害をきたし、その血管支配領域の虚血に至る脳梗塞の発症機序を「血栓性機序」という。 アテローム血栓性脳梗塞は、血栓性機序の脳梗塞をきたす。 ラクナ梗塞も血栓性機序の脳梗塞。 アテローム血栓性脳梗塞は一言でいうと、 動脈硬化により、 「太い血管が細くなって起こる脳梗塞」です。

アテローム血栓性脳梗塞の発症機序

#11.

主幹動脈狭窄が原因で、それより遠位の血流領域に虚血を来しうる。

#12.

定義:「虚血病巣を還流する血管に 50%以上の狭窄がある」

#13.

一方、アテローム血栓性脳梗塞は血栓性機序以外にも、別の発症機序である「塞栓性機序」の脳梗塞も起こす。 塞栓性機序とは、いずれかの塞栓子がとんで、血管が詰まって起こる障害パターン。この場合の塞栓子は、動脈硬化の結果として形成された動脈壁にあるプラークであり、これが遠位の血管にとんで詰まり、塞栓症を起こします。 この場合、動脈原性塞栓症と言う。 Artery to artery embolism(A—to—A embolism)とも表現される。 アテローム血栓性脳梗塞の発症機序

#14.

アテローム血栓性脳梗塞は、血栓性機序、塞栓性機序、両方で脳梗塞を起こしうるので、診断の難しさにつながっている。 しばしば、心原性脳塞栓症との区別が議論になる。 アテローム血栓性脳梗塞の発症機序

#15.

要点のまとめ アテローム血栓性脳梗塞 アテローム血栓性脳梗塞の定義は、「虚血病巣を還流する血管に 50%以上の狭窄がある」である。 その狭窄病変において、血管狭窄による血流障害が梗塞の原因である場合、『血栓性機序』の脳梗塞と評価する。 その狭窄病変において、プラークがはがれて塞栓子となり塞栓症を起こす場合、『塞栓性機序』の脳梗塞と評価する.

心原性脳塞栓症の特徴と要点

#16.

心原性脳塞栓症 について

#17.

心原性脳塞栓症 心臓が原因の脳梗塞について 最もコモンなのは心房細動による。 ただし、色々な塞栓を起こしうる背景を知っておく。

#18.

これは最も発症を防ぐべき、重要な病型。 一言で心原性脳塞栓症を説明するなら、「心臓の中に血栓ができて、その血栓が脳の血管に詰まるタイプの脳梗塞」と言える。 心腔内にできる血栓は大きく、塞栓症を起こした場合、虚血による障害範囲は大きなものになる。 心原性脳塞栓症 簡単な心原性脳塞栓症の理解としては、 「心臓が悪い人に起こる脳梗塞」と 言ってもよい。

#19.

心原性の要点:心房細動・心原性脳塞栓症について 心房細動という不整脈が脳梗塞発症の原因となる。 心房細動があると、心腔内に血流のよどみができる。そしてこの血流のよどみが血栓形成の原因になる。この結果できる血栓は動脈血栓よりも巨大な血栓となる。この心腔内の大きな血栓が脳血管にとんで詰まると、脳梗塞を発症する。そして虚血の範囲は広範に及ぶ。 一方、心腔内血栓の形成は必ずしも心房細動の存在が必須ではなく、低心機能状態でも心腔内血栓ができる原因になりうる。

#20.

major cardiac sources moderate/possible sources 心原性脳塞栓症の原因心疾患 Stroke. 2021 Jul;52(7):e364-e467. Stroke 1993;24 :35.

病歴聴取と発症機序の確認

#21.

病歴聴取 について

#22.

血栓性機序とは?   進行性増悪(階段状増悪:階段状にだんだん悪くなる)する。 塞栓性機序とは?   突発完成型エピソード(急に悪くなり、そのまま症状が完成する)である。 病歴聴取では、  「症状が進行性増悪であるのか?」  「急に発症してそのまま完成したのか?」を確認をして下さい。 この2つの発症機序を決めると、病型診断に近づきます。

#23.

血栓性機序なら   ラクナ梗塞   もしくは アテローム血栓性脳梗塞 塞栓性機序なら   心原性脳塞栓症 もしくは アテローム血栓性脳梗塞                (動脈原性塞栓症) 発症機序で分けられる病型分類

#24.

病型分類表

#25.

そして発症機序に神経所見を加えていただくと、診断により近づきます。 意識して評価していただきたい神経所見は、「皮質症状」です。 皮質症状とは、大脳皮質が障害されたときに認められる症状です。 意識障害、失語、失行、失認があれば皮質症状あり、と評価して下さい。 皮質症状とは? 意識障害・失語・失行・失認 である。

#26.

皮質症状あり?なし? 皮質症状あり 心原性脳塞栓症 もしくは アテローム血栓性脳梗塞 皮質症状なし ラクナ梗塞 皮質症状ありなし、で病型分類が進みます。 あり あり なし

症例を通じた病型分類の理解

#27.

3つの基本病型 理解できました?

#28.

23時頃バタンと音がしたので家人が見に行くと床に倒れていた。意識障害、右片麻痺あり。救急搬送。既往は慢性心不全。初診時所見は眼球は左共同偏倚、自発語なし、失語あり。右片麻痺は完全であった。 症例でまとめ 81歳女性、意識障害

#29.

病型分類表

#30.

発症機序:塞栓性機序(突発発症) 皮質症状あり 主幹動脈閉塞うたがい  ➡心原性脳塞栓症S/O

#31.

起床時からの軽度の右片麻痺あり、構音障害あり。箸は持てた。発症翌日には、朝食時に箸が持てなくなり、症状進行したのでERを受診した。併存症は高血圧症、脂質異常症。 意識障害はない。失語・失行・失認はない。 症例でまとめ 60歳男性、右片麻痺

#32.

病型分類表

#33.

発症機序:血栓性機序(進行性増悪) 皮質症状なし  (麻痺だけ脳梗塞)  ➡ラクナ梗塞を想起

#34.

動作緩慢、構音障害で発症。症状は徐々に悪化。発症4日後に近医より紹介され外来受診。家人からは“いつもとは性格が違うよう”と指摘された。診察所見は、JCSⅠ-1、疎通性はやや悪い。 失語失行失認なし。 上肢Barreで左で回内、下垂はない。 下肢Mingazziniで左で軽度下垂。 併存症は高血圧症、脂質異常症。 症例でまとめ 75歳男性、軽度意識障害

脳梗塞の検査方法と重要性

#35.

病型分類表

#36.

発症機序:血栓性機序 皮質症状あり(意識障害)+片麻痺  ➡アテローム血栓性脳梗塞

#37.

3つの基本病型 理解できました?

#38.

血栓性機序?塞栓性機序? 病歴聴取が大切。 ラクナ梗塞って? アテローム血栓性脳梗塞って? 心原性脳塞栓症って? #1 まとめ:脳梗塞の診断

#39.

#2 脳梗塞の検査 まずは脳梗塞の診断の基本を学んでいく。

超急性期の画像検査の使い分け

#40.

超急性期 画像検査使い分け

#41.

発症4.5時間以内では造影CT 最終健常確認4.5 時間未満の場合: 血栓溶解療法、または機械的血栓除去術の適応を検討することになる。 この場合は造影CTでの血管系評価、脳血流評価を行う。 代替手段は、 MRI+MRAである。

#42.

発症4.5時間以内では造影CT この場合は、一刻も評価を急ぐ。時間のかかるMRIよりは、短時間で評価可能なCT検査が優先される。 LVO:large vessel occlusion (主幹動脈閉塞状態) 基本の考え:LVOが想定される場合はCTA、LVOでないならMRI

#43.

発症24時間以内の脳梗塞 最終健常確認 4.5 ~ 24 時間の場合 この場合は血栓溶解療法は適応外だが、機械的血栓除去術の適応が検討される。 やはりLVOが想定されるならCTA、想定されないならMRI。 症候次第での画像検査選択になる。 OR

#44.

RACEスコア ≧ 5 でLVOの可能性高い(感度85%, 特異度68%) LVO:large vessel occlusion の評価 Pérez de la Ossa N, Stroke 2014

#45.

発症24時間以上、または不明の場合 最終健常確認時間が不明の場合: この場合はMRI+MRAを優先して行う。

#46.

時間 × LVO で画像検査を検討することになる。 血栓溶解療法と血管内治療を意識した画像検査を。 超急性期(4.5時間以内)はCTA優先、 24時間以内はCTA>MRIで使い分け、それ以降はMRI。 LVOで24時間以内なら、CTA優先する。

DWIとT2*強調画像の重要性

#47.

頻用するDWI について

#48.

頻用するDWIの知識 発症早期の脳梗塞を診断する場合には、MRIがCTより優先される。 DWIでは1時間以内の脳梗塞も検出できる。 ラクナ梗塞やサイズの小さい脳梗塞は、MRIで診断していくしかない。 ただし、発症早期の場合ではDWI が正常である場合もある(偽陰性)。 24時間後再検 Neurology. 2017 Jul 18;89(3):256–262.

#49.

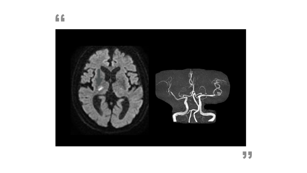
時間的False negative・部位的False negativeがある。克服方法もある。 時間的FN:翌日のDWI再検を検討する 部位的FN:2方向DWI施行を検討する。 DWI知識まとめ 1時間以降で高信号になるが、偽陰性の可能性もある。 撮像が早ければ早いほど、偽陰性のリスク。 部位(とくに脳幹部梗塞)によっても偽陰性はありうる。 Surg Neurol Int. 2019 Sep 20;10:180. Sci Rep. 2015 Mar 17:5:8910.

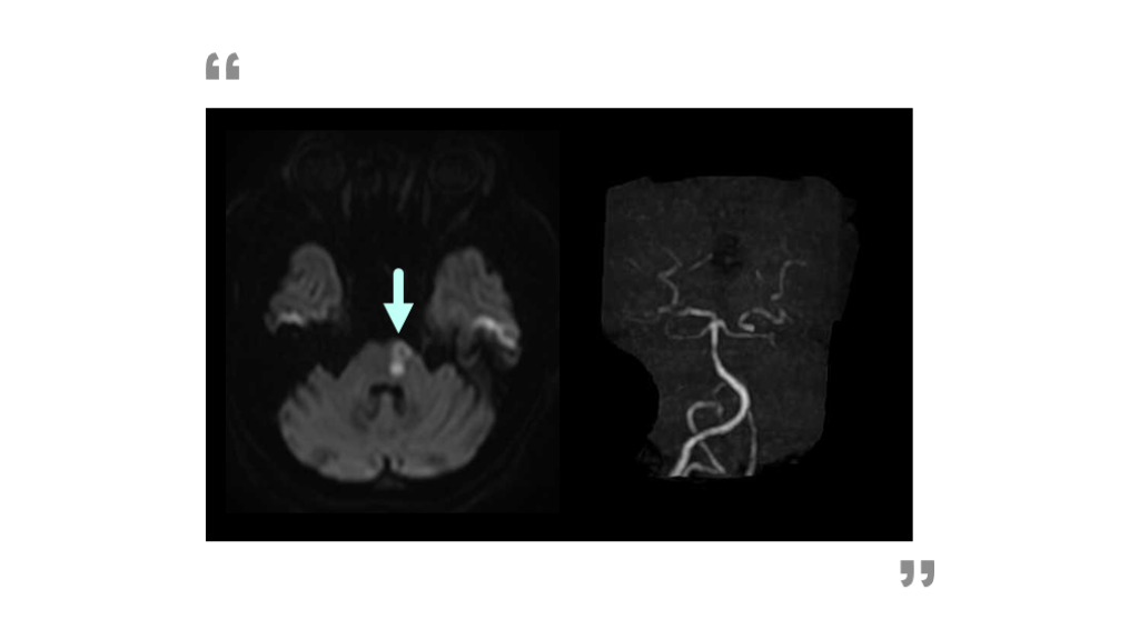
#50.

延髄外側梗塞 False negativeの例 DAY 1 ERでのMRI検査。     DWIで病変を指摘できない。     想定するのは左側延髄外側梗塞。

#51.

DAY2+DWI 3方向 DAY 2 翌日に撮像する + 2方向撮像することで、      2つのFalse negativeの克服。

#52.

T2*強調画像の 重要性

#53.

T2*強調画像は必ずオーダーして確認! MRIは出血評価が苦手である。T2*は出血がわかるMRI撮像条件。 短時間で撮影できるので、必ずオーダーする。 見るのを忘れがちなので、意識して確認する。 DWI T2*WI

#54.

T2*強調画像は必ずオーダーし、確認する! DWI FLAIR T2*WI

#55.

出血性梗塞の確認のため、確認する。 DAPTなど、治療前の出血リスクの評価のため、確認する。 塞栓性機序が想定される場合は確認が必須。 MRI撮像条件:T2*強調画像 T2*は必ず入れよう。そして、意識的に確認する。

#56.

頸動脈エコー について

頸動脈エコーとその他の検査

#57.

頸動脈エコーの確認ポイント 狭窄率はどうか?   :狭窄が脳梗塞の原因になっているか? プラークはあるか? また、プラークの性状はどうか? :塞栓源になりうるか? IMTの肥厚はどうか?   :動脈硬化の進行具合はどうか? 超音波による頸動脈病変の標準的評価法2017(日本超音波学会)

#58.

その他の検査

#59.

心原性脳塞栓症の可能性を査定する。 弁膜症の有無、壁運動の評価、心腔内血栓の有無?を確認する。 脳梗塞入院患者では、ルーチンでやっていいだろう。 感染性心内膜炎が考慮される場合にはより積極的に早期に施行。 その場合、経食道心エコーも検討。 心エコー:経胸壁➡経食道 Stroke. 2021;52:e364–e467.

#60.

ルーチンでの評価 BNP:心原性脳塞栓症の可能性のヒント CRP:感染性心内膜炎の可能性のヒント Dダイマー:塞栓性機序のヒント(トルソー症候群、ESUS、心原性) 採血検査 J Stroke Cerebrovasc Dis. 2014 Aug;23(7):1882-9. Biomark Med. 2023 Jul;17(14):613-621. Clin Neurol Neurosurg. 2025 Aug 5:257:109089.

#61.

心原性脳塞栓症を考慮するが、心房細動が指摘できない場合に  塞栓性機序の脳梗塞が検討される場合にはやる。 24時間ホルター心電図のPAF検出率はかなり低い(感度1.3-2.2%)。 ホルター心電図 Europace. 2023 Feb 8;25(1):185-198.

#62.

塞栓性機序が考慮され、心房細動の存在を追求し続ける場合に検討する。 【高齢・左房拡大・BNP上昇・NIHSS高値・皮質梗塞パターン】でPAF多い。 植込み型心電計 Front Neurol. 2022 Jun 28;13:900582.

#63.

植込み型心電図記録計の適応となり得る 潜因性脳梗塞患者の診断の手引き ESUS診断フロー (Embolic Stroke of Undetermined Source)

#64.

病型診断のための検査は決まっている。 網羅的な検査を。パス化も可能。 MRIの検査特性を理解する。 造影CTとMRIの使い分けを理解する。 #2 脳梗塞の検査:まとめ

脳梗塞の急性期治療の基本

#65.

臨床病型ごとの治療を理解する。 #3 脳梗塞の急性期治療

#66.

ラクナ/アテローム 急性期治療

#67.

動脈硬化の結果血管狭窄を来し、それより遠位での血流の減少によって脳梗塞に至る。 ラクナ梗塞・アテローム血栓性脳梗塞の発症機序。 この場合は、経過は進行性増悪を来しうる。 急性期治療は抗血小板療法である。 血栓性機序の脳梗塞:おさらい

#68.

血栓性機序の治療①:アスピリン(SAPT) アスピリンの早期 (48 時間以内) の開始が急性虚血性脳卒中の治療に有益である(GL:推奨度A)。 軽症脳梗塞(NIHSS≦5)では、DAPTが選択される。 中等症以上(NIHSS>5)では、SAPTが選択される。  ➡ 中等度から重度の脳梗塞患者には、アスピリン単独療法が推奨。 脳卒中治療ガイドライン2021〔改訂2025〕.株式会社協和企画, 2023, 332p. 978-4-87794-233-5 CAST trial(Lancet 1997)/ IST trial(Lancet 1997)

#69.

アスピリン(160-300mg/day):急性期(48時間以内)のラクナ梗塞、アテローム血栓性脳梗塞でアスピリンを使用する。 数日間(例えば7-14日間)ローディングして、その後100mg/dayに。 重症度:中等症以上(NIHSSスコア>5)で選択 アスピリン(160-300mg/day) 急性期(48時間以内)のラクナ梗塞、アテローム血栓性脳梗塞 でアスピリンを使用する。(重症度:中等症以上で選択) 脳卒中治療ガイドライン2021〔改訂2025〕.株式会社協和企画, 2023, 332p. 978-4-87794-233-5

#70.

血栓性機序の治療②: アスピリン+クロピドグレル(DAPT) DAPT使用については前提条件がある。 軽症の脳梗塞患者には、アスピリン単独ではなく、アスピリンとクロピドグレルを使用する短期二剤抗血小板療法(DAPT)が推奨(推奨度A) 。 軽症の脳梗塞は、NIHSS スコア ≦5 で定義される。  梗塞範囲が大きいと出血リスクが高まる。  この場合にはDAPT よりもアスピリン単剤療法を優先する。 脳卒中治療ガイドライン2021〔改訂2025〕.株式会社協和企画, 2023, 332p. 978-4-87794-233-5

#71.

DAPT (dual antiplatelet therapy) 24時間以内、軽症脳梗塞(NIHSSスコア≦ 5)でDAPTが適応。 アスピリン+クロピドグレルの使用。21日間継続する。 アスピリン    (負荷量 200 mg、その後 1 日100 mg) クロピドグレル (負荷量 300 mg、その後 1 日75 mg)   DAPT の期間は、軽度の虚血性脳卒中患者の場合は 21 日間。 脳卒中治療ガイドライン2021〔改訂2025〕.株式会社協和企画, 2023, 332p. 978-4-87794-233-5 CHANE(2013)/POINT(2018)/ THALES(2020) /INSPIRES(2023) NEJM 発症24時間を超えても、72時間以内であれば(適切な対象に)DAPT開始を支持するRCT(INSPIRES)あり。

#72.

NIHSSスコア 脳梗塞のNIHSS(National Institutes of Health Stroke Scale)は、脳卒中の重症度を定量的に評価するスケールで。特に脳梗塞の初期評価、治療選択、予後予測において重要な役割を果たす。 🧠 NIHSSとは? 開発元    :米国国立衛生研究所(NIH) 目的      :脳梗塞による神経障害の程度を標準化された方法で評価 評価項目数:15項目(最大42点)点数が高いほど重症 目安      :不全片麻痺 NIHSSスコア 4程度。完全片麻痺 NIHSSスコア 6以上。

TIAの治療と心原性脳塞栓症

#73.

TIAの治療

#74.

TIAの治療選択:SAPTとDAPT TIAの治療は、ABSD2スコア (年齢、血圧、臨床的特徴、症状の持続期間、および糖尿病)で使い分ける。 低リスク TIAは、ABCD 2 スコアが 4 未満 で定義される。 高リスク TIAは、ABCD 2 スコアが 4 以上 で定義される。

#75.

SAPTの適応 ➡ABCD2スコア:4未満の低リスクTIAでアスピリン単独が適応となる。 低リスクTIAはSAPT アスピリン単独で治療。160-300mgで介入する。 脳卒中治療ガイドライン2021〔改訂2025〕.株式会社協和企画, 2023, 332p. 978-4-87794-233-5

#76.

DAPTの適応 ➡ABCD2スコア:4以上の高リスクTIAに対しては、  最初の21日間はアスピリンとクロピドグレルを併用するDAPTを行う。 ハイリスクTIAはDAPT アスピリン+クロピドグレル (ローディングで開始➡維持量へ) 脳卒中治療ガイドライン2021〔改訂2025〕.株式会社協和企画, 2023, 332p. 978-4-87794-233-5

#77.

TIA+心房細動あり 心房細動のあるTIAではDOAC、またはワルファリンで対応となります。 TIA 発症時に抗凝固療法の適応が明らかな患者(例えば心房細動がある)については、抗血小板療法ではなく抗凝固療法を開始します。 脳卒中治療ガイドライン2021〔改訂2025〕.株式会社協和企画, 2023, 332p. 978-4-87794-233-5

#78.

心原性脳塞栓症 の治療

#79.

超急性期治療 発症4.5時間以内:血栓溶解療法の適応 発症24時間以内 :機械的血栓除去術の適応 24時間以内の心原性脳塞栓症(LVO)では、上記治療の検討が必要なことは心得ておく。 脳卒中治療ガイドライン2021〔改訂2025〕.株式会社協和企画, 2023, 332p. 978-4-87794-233-5

#80.

心原性脳塞栓症:適切なタイミングで抗凝固療法を開始 抗凝固療法を行う。次の脳梗塞発症を防ぐことが目的である。 ガイドラインには、「適切なタイミング」で開始、と記載されている。 適切な抗凝固療法開始のタイミングとは? あまり早く抗凝固療法を導入すると、出血性合併症が問題になる。 脳卒中治療ガイドライン2021〔改訂2025〕.株式会社協和企画, 2023, 332p. 978-4-87794-233-5

ESUSとトルソー症候群の理解

#81.

過去のGLでは、1-3-6-12 day ruleで紹介されていた。 現在は、より早い抗凝固薬の導入が推奨されている。 心原性脳塞栓症の抗凝固療法開始時期? 脳梗塞のサイズに応じた、 1-2-3-4 day ruleに従って早期に抗凝固療法を導入する。 Stroke. 2022;53:1540.

#82.

1-2-3-4 day rule: DOAC開始基準 Stroke. 2022;53:1540. 脳梗塞の範囲が大きいと、出血リスクが高くなる。 脳梗塞の範囲はNIHSSとの相関があるので、NIHSSスコアで分類されている。

#83.

ただし、出血性梗塞には留意。T2*は忘れずに確認する。 出血性梗塞の場合は慎重な抗凝固療法の開始が検討される。 GLでは2週間以内での抗凝固療法の開始を検討する、と記載されている。 出血がある場合にはCTをフォローしながら対応。 抗凝固療法開始後もCTでフォローアップする。 DWI T2*WI 脳卒中治療ガイドライン2021〔改訂2025〕

#84.

ESUSの治療

#85.

ESUS(塞栓源不明脳塞栓症)とは? Embolic stroke of undetermined sources:ESUS 塞栓源を同定できない脳梗塞がESUSである。 画像上は塞栓性機序の脳梗塞を考慮するが、心房細動が指摘できない。この場合は、塞栓源が同定できない状態でのスタートとなる。 脳卒中の潜在的な原因として心房細動を評価するための心電図モニタリングの結果を行いながら、スタートは抗血小板療法で治療する。 Stroke. 2017 Apr;48(4):867-872.

#86.

アスピリンで始めながら、原因検索を進める。 AHA/ASA 2021:ESUSに対する一次治療はアスピリン(Class I)。              DOACは有効性証明なし(Class III: No Benefit)。 塞栓原不明脳塞栓症の治療 ESUSが考慮され、心房細動が指摘できない場合は、 アスピリンで治療介入する。

#87.

ESUSの内訳 medicina 2023;60:523より改変 潜在的な病因(hidden sources) 心房細動(発作性AF):長期モニタリングで30%近く見つかるという報告も。 心房筋症(atrial cardiopathy):AFがなくても左房機能異常が塞栓源になりうる。 大動脈弓アテローム:特に複雑プラークは潜在的塞栓源。 PFO(卵円孔開存):若年例で関連が強い。 Stroke. 2017 Apr;48(4):867-872.

#88.

トルソー症候群 の治療

症例を通じた急性期治療の実践

#89.

トルソー症候群ではヘパリン静注で開始 トルソー症候群で最も推奨される治療はヘパリン静注。 脳梗塞で積極的なヘパリン静注療法を使用をするシチュエーションは、  この場合のみかもしれない。 N Engl J Med. 2003 Jul 10;349(2):146-53.

#90.

症例でまとめ

#91.

症例でまとめ 70歳女性例。 右片麻痺で発症。4時間後にERへ受診した。 麻痺症状は30分で消失。 E4V5M6。NIHSSは0点。ABCD2スコアは2点。 頭部CTでは出血病変なし。 頭部MRIでは、DWIで信号変化なし。 MRAでは頭蓋内血管狭窄病変はなし。 高血圧症で通院加療中。

#92.

急性期治療について 診断はTIAです。ここでは入院希望なく、外来診療対応となりました。TIAは軽症か重症か?で治療が変わります。 ここでは、軽症TIA(ABCD2スコア4未満)で、アスピリン単剤が適応になります。 高LDL血症(150mg/dL)もあり、スタチンも追加します。 RP1) バイアスピリン 200mg/day RP2)  ピタバスタチン  1mg/day 方針) 外来でのフォローアップ。

#93.

65歳男性例。 右不全片麻痺で発症。発症12時間後にERへ受診した。 E4V5M6。NIHSSは2点。 頭部CTでは出血病変なし。 頭部MRIでは、DWIで橋左側に穿通枝梗塞を認めた。 MRAでは脳底動脈の粗大な狭窄病変はなし。 T2*では出血病変なし。 医療機関への受診歴はなし。 症例でまとめ

#95.

急性期治療について 24時間以内で、NIHSS 2(軽症脳梗塞)。 診断はラクナ梗塞、もしくはBADです。 ここでは、DAPTが適応になります。 初日RP)バイアスピリン200mg+クロピドグレル300mg/day 翌日RP) バイアスピリン100mg+クロピドグレル75mg/day 方 針 )輸液、安静度制限、スタチン追加、各種検査、リハビリ。

#96.

80歳男性例。独居。 意識障害主訴。発症48時間後に救急要請され、ERへ受診した。 E4V5M6。NIHSSは5点。 頭部CTでは出血病変なし。 頭部MRIでは、DWIで右中大脳動脈、M2領域、右前頭葉皮質に高信号病変あり。 T2*では出血病変なし。 来院時心電図では、心房細動が指摘された。 症例でまとめ

脳梗塞の二次予防と治療目標

#98.

急性期治療について 48時間経過した脳梗塞。診断は心原性脳塞栓症。 ここでは、DOACが適応になります。議論はいつから始めるか? 1-2-3-4dayルールでは、NIHSS 5点で発症後2日以内での開始です。 入院翌日、頭部CT施行し、出血性病変のないことを確認。DOAC開始です。 RP) リクシアナ30mg/day 方針) 輸液、各種検査、リハビリ。

#99.

SAPTの使い方 DAPTの使い方 ラクナ・アテロームの時? TIAの時? 心原性脳塞栓症の時? #3 脳梗塞の急性期治療:まとめ

#100.

脳梗塞になってしまった後の再発予防。 #4 脳梗塞の二次予防

#101.

血栓性機序の 二次予防

#102.

ラクナ・アテロームの二次予防 介入におけるアプローチは以下の2通り。  ①抗血小板療法  ②動脈硬化のリスクへの介入:高血圧症、脂質異常症、糖尿病の治療 すべての主要な脳卒中危険因子を治療すると、   治療を行わない場合と比較して、脳卒中再発のリスクが 80 %減少する。 Daniel G Hackam. Stroke. 2007, 38(6), p.1881-1885.

#103.

抗血小板薬 使い分け

#104.

抗血小板療法 脳梗塞二次予防における抗血小板薬は、アスピリン、クロピドグレル、シロスタゾールいずれかを選択する(GL:推奨度A)。 ただし、出血性合併症等のリスクから、アスピリンより、 クロピドグレル・シロスタゾールが好んで選択される。 この2剤の副作用も知っておく。    クロピドグレルの副作用 :肝障害の出現に留意       シロスタゾールの副作用 :頭痛・頻脈に留意 脳卒中治療ガイドライン2021〔改訂2025〕.株式会社協和企画, 2023, 332p. 978-4-87794-233-5

高血圧症と脂質異常症の管理

#105.

血栓性機序: 高血圧症

#106.

高血圧症:急性期 脳梗塞の急性期は原則降圧療法は行わない。 発症24時間以内は、SBP 220mmHgを超えなければ降圧しない。 それ以降は、発症1週間後からのマイルドな降圧療法を開始する。 脳卒中治療ガイドライン2021〔改訂2025〕.株式会社協和企画, 2023, 332p. 978-4-87794-233-5

#107.

高血圧症:慢性期 急性期を過ぎた慢性期(一か月後)を目安に、降圧を開始する。 脳梗塞急性期には血圧高値でも、その後低下してくることもある。 降圧薬の使用と共に、ライフスタイルの変更も治療に含まれる。 減量、塩分の制限。果物、野菜、低脂肪乳製品を豊富に含む食事。 運動習慣、アルコール摂取量を減らす。これらも指導する。

#108.

高血圧症: ガイドラインの推奨 基本的には、慢性期の血圧降下は130/80mmHg以下が目標。 条件によっては140/90mmHg以下が目標となる(推奨度B)。 条件:高度頸動脈狭窄症・主幹動脈閉塞がある場合      血管系未評価の場合など 脳卒中治療ガイドライン2021〔改訂2025〕.株式会社協和企画, 2023, 332p. 978-4-87794-233-5

#109.

脂質異常症の 治療目標

#110.

The lower, the better. が基本。 LDL値は低ければ低いほど良い。 スタチン使用による、LDLコレステロール低下療法はよく研究されており、脳梗塞発症リスク軽減効果が証明されている。 年齢、性別、治療前のLDL値に関係なく、有効性があるとされる。 脳卒中治療ガイドライン2021〔改訂2025〕.株式会社協和企画, 2023, 332p. 978-4-87794-233-5 LDLコレステロール治療についての合言葉。

#111.

脂質異常症 脳梗塞の再発予防では、スタチンの積極的投与が勧められる。(推奨度A) LDLコレステロール値の降下目標  脳梗塞の二次予防では、             100 mg/dL以下。  冠動脈疾患/糖尿病/末梢動脈疾患の合併があるなら、70 mg/dL以下。 LDL値が十分に下がらない場合は、スタチン に エゼチミブの追加を検討。 脳卒中治療ガイドライン2021〔改訂2025〕.株式会社協和企画, 2023, 332p. 978-4-87794-233-5

#112.

心原性脳塞栓症 二次予防

#113.

心原性脳塞栓症の二次予防 抗血栓療法としては、抗凝固薬を選択する。 つまり、DOACとワルファリンが選択される。 DOACは腎代謝である。腎機能に留意して処方すること。 高度腎症がある場合にはDOACは使用できない。 脳卒中治療ガイドライン2021〔改訂2025〕.株式会社協和企画, 2023, 332p. 978-4-87794-233-5

#114.

低用量エドキサバンの選択肢 出血リスクが心配な場合(腎機能障害含む)、低用量エドキサバンが選択肢になる。 高齢者診療では選択肢として覚えておく。15mg/dayの投与。 Ken Okumura. N Engl J Med 2020, 383(18), p.1735-1745.

#115.

抗血小板薬の選択 高血圧症の治療目標 脂質異常症の治療目標 DOACの注意点 #4 脳梗塞の二次予防:まとめ

奇異性脳塞栓症とトルソー症候群

#116.

#5 脳梗塞診断+α 三大病型以外の脳梗塞抑えておく。

#117.

奇異性脳塞栓症 について

#118.

奇異性脳塞栓症:DVTが原因になる 通常DVTが脳梗塞になることはない。ただし、 いずれかにシャントがあれば脳梗塞を引き起こす。 卵円孔開存(>肺動静脈奇形)を想起する。 J Am Coll Cardiol. 2014 Jul 29;64(4):403-15.

#119.

Adrià Arboix. J Geriatr Cardiol. 2021,18(1), p.67-74.

#120.

PFOの評価:RoPEスコア ≧7で高スコア RoPEスコア高い若年・リスク因子少ない患者 → PFOが原因の可能性大、閉鎖適応を強く考慮。 Annals of Internal Medicine. 2013;158(6):285–293.

#121.

卵円孔開存症による脳梗塞 若年者でリスクのない塞栓性機序の脳梗塞では必ず鑑別に挙げたい。評価・治療可能な施設への紹介も検討。 発症時のバルサルバ負荷の病歴も重要。 塞栓性と思われる脳梗塞で、中リスクから高リスクの 卵円孔開存症 を患っており、各種検査によっても他に明確な脳卒中原因がない患者の年齢 60 歳以下の患者において、卵円孔閉鎖により再発リスクが低下するという質の高い証拠がある。 脳卒中治療ガイドライン2021〔改訂2025〕.株式会社協和企画, 2023, 332p. 978-4-87794-233-5

#122.

トルソー症候群

#123.

トルソー症候群 「がん関連脳梗塞」 脳梗塞の原因としては忘れがち。 Three territory sign、Dダイマー上昇を鑑別に。 原因が同定できない脳梗塞では、全身CT施行を検討する。 World J Oncol. 2022 Dec;13(6):403-408.

ESUSの評価と治療戦略

#124.

がん関連脳梗塞: 3領域梗塞 +Dダイマー上昇で想起。 Amre M Nouh. Neurol Clin Pract. 2019, 9(2), p.124-128.

#125.

トルソー症候群 Three territory sign 3領域に病変があるとトルソー症候群のヒント。 画像評価の参考に。多領域により散在しているなら   トルソー症候群を疑うヒントにする。

#126.

ESUS

#127.

Embolic stroke of undetermined source (ESUS) 一通り評価し、塞栓源が特定できないならESUSとなる。 ESUSの場合には、心房細動の出現が無いかなど留意しながらのフォローとなろう。 二次予防はアスピリンを選択する。 しかしながら、脳梗塞再発が仮にある場合には、一通りの評価を再考することとなる。

#128.

Embolic stroke of undetermined source (ESUS) 原因不明の脳梗塞として対応されているが、十分な評価を受けていない可能性もありうる。 比較的若年者の脳梗塞なら、少なくとも卵円孔開存症の可能性について検討する。 高齢なら発作性心房細動の可能性について検討する。

#129.

PFO トルソー症候群 ESUS #5 脳梗塞の基本病型以外の診断

#130.

入院時の病棟指示とオーダリングの仕方。 #6 脳梗塞病棟管理

脳梗塞病棟管理と入院時指示

#131.

輸液選択の考え方 血管内脱水は、脳梗塞患者、特に高齢患者では指摘されやすい。 血管内脱水は、脳血流を悪化させる。 脳梗塞患者で血管内脱水があると判断した場合は、ブドウ糖を含まない生理食塩水が推奨である。 Joseph D Burns. Emerg Med Clin North Am. 2012;30:713.

#132.

輸液選択の考え方:低張液・高血糖は避ける 少なくとも、低張液は急性脳卒中における脳浮腫を悪化させる可能性があり、不適。 また、血糖高値が予後不良と関与するデータがある。 高血糖を悪化させる可能性がある輸液オーダーは不適。

#133.

入院後、生理学的モニタリングをする。 脳梗塞発症後、少なくとも最初の 24 時間は血圧、脈、心電図を継続的にモニターすることが勧められる(GL:推奨度A)。 ラクナ梗塞でなく、塞栓性機序が想定される場合には心電図モニタリングをする。 脳卒中治療ガイドライン2021〔改訂2025〕.株式会社協和企画, 2023, 332p. 978-4-87794-233-5

#134.

高血糖は機能予後不良に関連する。 一般に血糖値 > 126 mg/dL で定義される高血糖は、急性脳卒中患者によく見られ、機能的転帰不良と関連している。高血糖は、いくつかのメカニズムによって脳損傷を増大させる可能性が推測されている。 ガイドラインでは、血糖が 140 ~ 180 mg/dL の範囲になるように血糖値管理を推奨している(GL推奨度C)。 高血糖があるなら入院時、スライディングスケールで対応する。 Thomas P Zonneveld. Neurology. 2017;88:1415 脳卒中治療ガイドライン2021〔改訂2025〕.株式会社協和企画, 2023, 332p. 978-4-87794-233-5

#135.

安静度制限:重症パターン。 以下のリスクがある急性期脳梗塞の患者でベッドアップ30 度を推奨。(GL推奨度C) 頭蓋内圧の上昇リスク(すなわち、広範梗塞の場合) 誤嚥のリスク    (嚥下障害および/意識障害の場合) 心不全または呼吸不全(慢性心疾患および肺疾患のある場合) Debbie Summers. Stroke. 2009;40:2911.

#136.

安静度制限の目安: 24時間後からの離床を 安静度制限についての明確な指針はない。 24時間以内の超早期の離床は有害である可能性がある。 24時間後の早期離床は、肺炎、深部静脈血栓症、肺塞栓症、脳卒中後の褥瘡などの重大な合併症の可能性を軽減できる可能性がある。過度な安静度制限は、誤嚥のリスクにもなりうる 。 R Fernández-Crehuet. Infect Control Hosp Epidemiol. 1997;18:825.

#137.

定型として安静度制限指示 24時間は安静度制限。内服・飲水・食事時のみのベッドアップ。 二日目は車いす乗車可。三日目から安静度制限なし。    ※症例によっては制限継続検討。例:BAD、高度内頚動脈狭窄症。 症状が安定している軽症脳梗塞で頭蓋内血管に狭窄のない場合には、発症翌日より座位をとる ことを考慮しても良い(推奨度 C) 脳卒中治療ガイドライン2021〔改訂2025〕.株式会社協和企画, 2023, 332p. 978-4-87794-233-5

#138.

降圧療法の考え方① 超急性期(24時間以内) 脳梗塞急性期の高血圧は降圧しないように勧められる(推奨度A)。 通常、脳梗塞急性期では、高度の高血圧(収縮期血圧 > 220 mmHg または拡張期血圧 > 120 mmHg)がある場合を除き、  血圧を急遽治療すべきではない。 脳卒中治療ガイドライン2021〔改訂2025〕.株式会社協和企画, 2023, 332p. 978-4-87794-233-5

#139.

降圧療法の考え方② 降圧タイミング 積極的には、発症24時間後から、降圧開始を検討しても良い。 保守的には、発症7日後から、降圧開始を検討。 急性期は急いて降圧を開始しなくても良い。 脳卒中治療ガイドライン2021〔改訂2025〕.株式会社協和企画, 2023, 332p. 978-4-87794-233-5

#140.

症例で まとめ 68歳男性例。 中等度の右片麻痺を発症。 発症12時間後のラクナ梗塞評価で今回入院。 初期治療はDAPTで介入された。 入院時血圧はSBP 180~200mmHgであった。 嚥下障害は目立たなかった。 未治療DMあり、HbA1C 8.5%。

#142.

入院時オーダー 抗血栓療法:DPAT 輸 液:マルトース加乳酸リンゲル液 60mL/時間 血 糖:スライディングスケールで管理 安静度:初日ベッド上、飲水時ベッドアップ可。     翌日は、車いす乗車可。3日目は、安静度制限なし。 血 圧:発症24時間はSBP 220mmHg以上で降圧方針。 心電図モニタリング:入院後24時間は継続。

#143.

入院後経過 血圧コントロール:神経症状安定あり。DAY3で降圧開始。 リハビリ:麻痺症状残存あり、リハ治療継続が妥当と判断し、転院方針とした。二次予防薬の調整も行った。

#144.

点滴は、基本外液で フルモニター装着 高血糖に留意 安静度制限のルール 降圧療法のルール #6 脳梗塞の入院時指示

#145.

脳梗塞診療は論理的に実践可能である。 このプレゼンテーションの内容が基本。 脳梗塞診療は、脳神経内科診療の導入になりうる。 脳梗塞診療ができる➡神経救急の多くができるようになる。 比較的、習得しやすい領域であり、ぜひマスターしてください。 プレゼンテーションのまとめ

プレゼンテーションのまとめ

#146.

THANK YOU


山本大介さんのインタビュー

山本大介さんのインタビュー
Antaa Slide

医師・医学生のためのスライド共有

Antaa QA

医師同士の質問解決プラットフォーム

App StoreからダウンロードGoogle Play Storeからダウンロード

会社概要

Antaa, Inc. All rights reserved.

Follow us on Facebook
Follow us on Twitter