医師・医学生のためのスライド共有

Antaa Slide
診療科
特集

お知らせ

ログイン
腹部単純X線(腹部レントゲン) どうやって使いますか? L001.png

関連テーマから出会おう。

閲覧履歴からのおすすめ

Antaa Slide
発熱性好中球減少症のマネジメントと血液内科ローテでレジデントが学ぶべき感染症

発熱性好中球減少症のマネジメントと血液内科ローテでレジデントが学ぶべき感染症

はらD

続けて閲覧
画像の検査目的って何を書けばいいの?  ~読影医からのメッセージ~

画像の検査目的って何を書けばいいの? ~読影医からのメッセージ~

うた@放射線科

続けて閲覧

1/39

研修医1年目 必見スライド30選

関連するスライド

発熱性好中球減少症のマネジメントと血液内科ローテでレジデントが学ぶべき感染症

発熱性好中球減少症のマネジメントと血液内科ローテでレジデントが学ぶべき感染症

はらD

93521

451

腹部単純X線(腹部レントゲン) どうやって使いますか?

投稿者プロフィール
桑原蓮

長野医療生活協同組合長野中央病院

344,476

1,475

投稿した先生からのメッセージ

学ぶ機会も使う機会も少ない腹部単純X線検査について,適応・撮り方・読影のポイントを簡単にまとめました.

概要

教わる機会も経験する機会もすくない腹部単純X線検査.

適応や撮影条件,最低限の読影方法を整理してみました.

今はCTの時代なので,読影については最低限のポイントを押さえましょう.

重要なのは,いつ,どうやって撮るか.

使う機会があれば参考にしてみてください.

本スライドの対象者

医学生/研修医

参考文献

  • 急性腹症診療ガイドライン出版委員会:急性腹症診療ガイドライン2015.医学書院,2015.

  • S E Mirvis,et al.AJR Am J Roentgenol 1986 Sep;147(3):501-3.

  • 稲岡勉,他.腹部単純X線撮影.medicina.41(12):2004.

  • 水野富一.腹部単純X線検査.medicina.40(12):2003.

  • 松村富二夫,他.日臨外会誌.71(4);1000-1003,2010.

投稿された先生へ質問や勉強になったポイントをコメントしてみましょう!

0 件のコメント

コメントするにはログインしてください

関連するスライド

発熱性好中球減少症のマネジメントと血液内科ローテでレジデントが学ぶべき感染症

発熱性好中球減少症のマネジメントと血液内科ローテでレジデントが学ぶべき感染症

はらD

はらD

93,521

451

画像の検査目的って何を書けばいいの?  ~読影医からのメッセージ~

画像の検査目的って何を書けばいいの? ~読影医からのメッセージ~

うた@放射線科

うた@放射線科

35,957

151

β-ラクタム系抗菌薬 -セフェム系-

β-ラクタム系抗菌薬 -セフェム系-

高野哲史

高野哲史

50,485

149

Drゆみの Weekly Journal Scan vol.3

Drゆみの Weekly Journal Scan vol.3

医療法人社団ゆみの

医療法人社団ゆみの

1,531

2



テキスト全文

腹部単純X線検査の基本と撮影方法

#1.

腹部単純X線検査 いつ・どうやって~撮り方・読み方~ 長野中央病院 消化器内科 桑原蓮

#2.

腹部単純X線検査はCTや超音波検査ができないときに考える. 撮るなら臥位で撮る. 読影はガスパターンが読めればOK.

#3.

腹部単純X線検査の使いどころが分かる. 自分でオーダーした画像を読影できる.

腹部単純X線検査の適応と実践

#4.

腹部単純X線検査に馴染みのない 初期研修医.

#5.

検査の適応 検査の実践 読影の仕方

#6.

1.検査の適応

急性腹症診療ガイドラインの概要

#7.

7 はじめに:こんな経験ありませんか? ・救急外来や初診外来,周術期などで腹部単純X線検査(腹単)を撮るように言われた. ・CTは出せないけどレントゲンなら出せる診療所での研修が始まった. 上級医:おなか痛いらしいからレントゲン撮っといて 研修医:わかりました! あれ?胸部と腹部どっちだっけ?立位と臥位があるけどどっちだっけ… 教わることも経験することも少なくなった腹単について 最低限の知識を身に付けよう

#8.

腹部の評価でどんな検査を出しますか? ・腹単は「早くて安い」.診断能は圧倒的にCTの方が高い. ・超音波検査は検査時間も診断能も術者次第.腸管の評価が苦手. 8

#9.

9 1)急性腹症診療ガイドライン出版委員会:急性腹症診療ガイドライン2015.医学書院,2015. ガイドライン1)によると… ・腹単だけでの診断は推奨されない. ・超音波検査やCTができない環境下ではやっても良いというレベル. 日本では超音波検査やCTのハードルが低く 腹単の優先度が低い

#10.

10 急性腹症診療ガイドライン出版委員会:急性腹症診療ガイドライン2015.医学書院,2015. 被ばくを避けるのであれば超音波検査を ・被ばくを避けるというのは腹単を選ぶ理由にならない. ・ただし,術者の技量が必要.

急性腹症の定義と歴史的背景

#11.

11 急性腹症診療ガイドライン出版委員会:急性腹症診療ガイドライン2015.医学書院,2015. 余談:知っていますか?急性腹症の定義 ・急性腹症とは迅速な対応が必要な疾患のこと. ・迅速な対応が必要でないと判断した時や経過評価(治療後フォローアップ)で腹単はありかも.

#12.

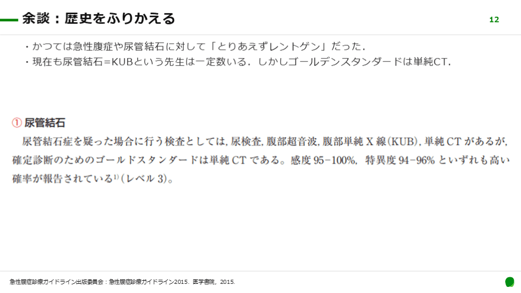
12 急性腹症診療ガイドライン出版委員会:急性腹症診療ガイドライン2015.医学書院,2015. 余談:歴史をふりかえる ・かつては急性腹症や尿管結石に対して「とりあえずレントゲン」だった. ・現在も尿管結石=KUBという先生は一定数いる.しかしゴールデンスタンダードは単純CT.

腹部単純X線の撮影手順とポイント

#13.

2.検査の実践

#14.

14 急性腹症診療ガイドライン出版委員会:急性腹症診療ガイドライン2015.医学書院,2015. 腹部単純X線の撮り方 ・腹単を撮るなら臥位でOK!

#15.

15 2)S E Mirvis,et al.AJR Am J Roentgenol 1986 Sep;147(3):501-3. 腹部単純X線の撮り方 ・医師国家試験では立位画像が頻出. ・イレウスのニボーは立位だと見やすいが,臥位でも診断はできる.ニボーがないこともある. 急性腹症シリーズ252例の連続検討2)では…  8/252例(15.7%):臥位で異常なく立位で異常あり.  うち3例:胸部X線検査でも異常を指摘できた.  残り5例:異常所見は診断や治療に影響しなかった. 補足 急性腹症で腹単を撮るなら臥位. 胸部X線検査も一緒に行うとGood. 経過評価ではCTよりもハードルが低く撮りやすい. もちろん環境が許せばCTや超音波検査を優先. ポイント 医師国家試験 105B40より

#16.

まとめ:腹部単純X線検査 ・腹単の適応は限られる. ・腹単を一枚撮るなら臥位.複数撮れるなら急性腹症シリーズを. 16 適応 超音波検査やCTができない急性腹症 適応:治療開始後の経過評価としてもOK.その他,デバイスの位置確認なども.      比較用に初めの腹単を撮っても良い(初回のみCT+腹単). 撮り方:基本的に臥位でOK!       胸部単純X線検査も一緒にやっておこう. ※初めのうちは「急性腹症シリーズ」を撮って比較すると勉強になるかも…

腹部単純X線の読影手順とルーチン

#17.

3.読影の仕方

#18.

ルーチンを作ろう ・他の検査と同様,読影手順は人それぞれ違ってOK. ・研修医のうちは,色々やってみて自分なりのルーチンを身に付けよう. 18 全体のガスパターン free air 軟部組織 石灰化病変 骨 必要に応じてCT可能な施設へ! 肝・胆・腎・腸腰筋・膀胱 XXXXX XXXXX 大動脈・尿管結石・胆石・膵石

#19.

ルーチンを作ろう:一覧をみながらチェックしよう 時系列の関係にあるいくつかの項目について説明する時に使用します。 19 ガスパターン 腸管拡張(小腸≧3cm,大腸≧6cm,回盲部≧9cm)があるか. 拡張は限局性かびまん性か.腸管が中央に寄っていないか. free air 臥位:肝臓周囲や肝鎌状間膜を中心に探す. 立位:横隔膜下,肝下部,モリソン窩を中心に探す. 軟部組織 肝・腎・脾の境界:不明瞭なら腹水貯留を疑う. Psoas lineの左右差:あれば後腹膜病変や腹水を疑う. 石灰化 腎臓・尿管・胆嚢・膵臓の位置をイメージしながら結石を探す. 大動脈の石灰化を追ってみる. 1 2 3 4 骨 圧迫骨折の確認. 5

#20.

全ての基本は解剖学 ・腹部単純X線読影の基本は正常解剖. ・解剖学的位置を把握しやすいのは臥位.立位画像では腸管が大きくずれているので注意. 20 3)稲岡勉,他.腹部単純X線撮影.medicina.41(12):2004. 文献3より引用

ガスパターンの評価と正常値

#21.

ガスパターン 21 全体のガスパターン free air 軟部組織 石灰化病変 骨 XXXXX XXXXX

#22.

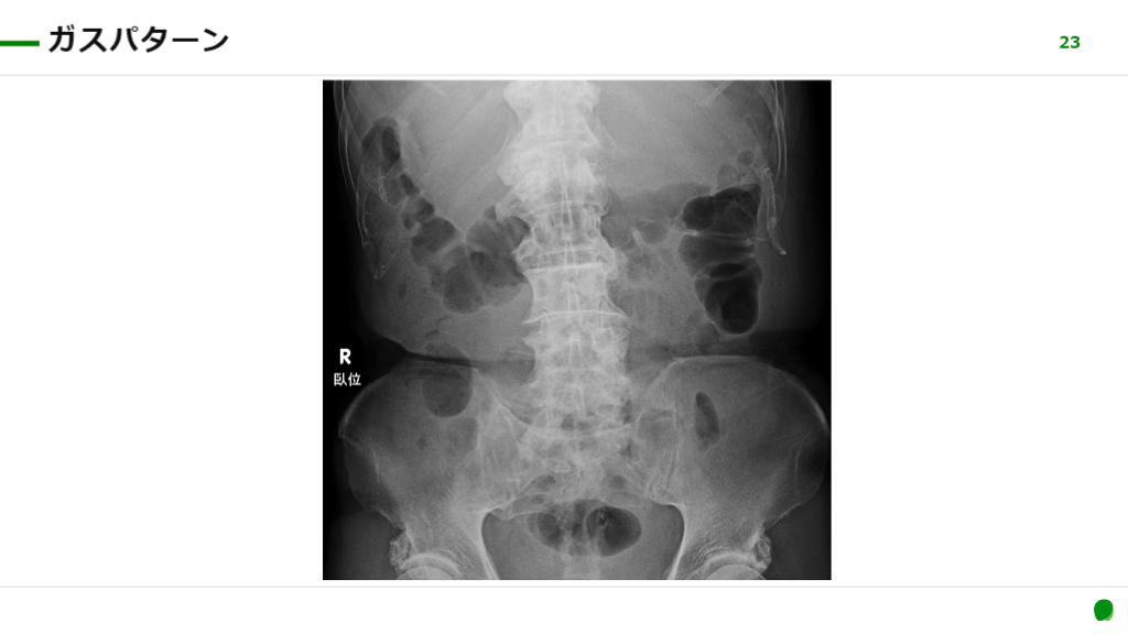
22 3)稲岡勉,他.腹部単純X線撮影.medicina.41(12):2004. ガスパターン ・まずは小腸と結腸の判別がつけられるようにしよう! ・〇〇signとか基準は覚えられなくても調べればOK.パッと見て小腸大腸の異常が分かれば上等. 画像での「位置」と「皺」をみる. ポイント 回腸のairは小さな丸. 空腸のKerckringヒダは完全に横断することが多い. 結腸のハウストラは完全に横断しないことが多い. 注意点 文献3より引用

#23.

23 ガスパターン

#24.

24 ガスパターン 結腸 ハウストラ (普通は完全に横断しない) 空腸 Kerckringヒダ (細かいヒダが完全に横断する) 回腸 小さな〇

#25.

ガスパターン ・正常の基準を知っておこう. ・基準があることを知っていればいざというときに調べられる. 25 小腸(正常値) ・長径<3cm ・壁の厚さ<3mm ・液面形成<3個 大腸(正常値) ・長径<6cm ・回盲部径<9cm 「3の法則」

free airの検出と異常ガスの評価

#26.

26 4)水野富一.腹部単純X線検査.medicina.40(12):2003. ガスパターン ・正常な腸管にはガスと液体がある.結腸からは便塊もみえる. ・「ガスだらけ」も「ガスがない」のも異常. 胃には常にガスがある. ニボーは3個を超えたら異常. 結腸にはガスと便塊が見えるはず.  (左図では小腸ガスがあるのに結腸ガスがみえない) ポイント ガスの多い少ないは小腸と結腸を比較する. ガスの量に画一的な基準はない. なんかガス多いな,少ないなという感覚を大事に. 注意点 臥位 立位 文献4より引用

#27.

free air 27 全体のガスパターン free air 軟部組織 石灰化病変 骨 XXXXX XXXXX 必要に応じてCT可能な施設へ!

#28.

28 4)水野富一.腹部単純X線検査.medicina.40(12):2003. free air ・free airを見つけたら迅速にCTなど追加精査を. 腸管外の「黒く抜ける塊」がfree air. 立位では横隔膜下や肝下縁,臥位では肝周囲など, 空気がたまりやすいところ(物理的に上側)をチェック. ポイント free airの出方や位置によって,穿孔部位を検討する報告もある.しかし,見つけた時点で次の処置や検査に行く必要があるので検討している余裕はない. 注意点 文献4より引用

#29.

29 5)松村富二夫,他.日臨外会誌.71(4);1000-1003,2010. 異常なガス ・門脈ガスや腸管気腫も見えることがある. 肝臓周囲のガスはfree airを疑う. 肝臓内のガスは門脈ガスを疑う. 腸管壁在ガスは気腫症を疑う.腸管も拡張しているはず. ※いずれも迷わずCTへ行けばよい. ポイント free air探しでは,一度は肝臓の周りと肝臓の中をチェックすること. 注意点 文献5より引用

#30.

軟部組織 30 全体のガスパターン free air 軟部組織 石灰化病変 骨 XXXXX XXXXX

軟部組織と石灰化病変の評価

#31.

31 4)稲岡勉,他.腹部単純X線撮影.medicina.41(12):2004. 軟部組織 ・肝臓辺縁や腸腰筋を追いかけてみて,ぼやけていたらそこに液体貯留があるかもしれない. ・見えづらいことも多い. 最低限腸腰筋を追ってみよう(左図左側の白矢印). 肝臓は辺縁を追ってみる. 余裕があれば傍結腸溝もチェック(左図右側の白矢印).  ※正常値は3mm以下.1cm程度あれば腹水を疑う. ポイント 色々なSignが提唱されている.いずれも参考程度に,興味があれば調べてみよう. 注意点 文献4より引用

#32.

石灰化病変 32 全体のガスパターン free air 軟部組織 石灰化病変 骨 XXXXX XXXXX

#33.

33 3)水野富一.腹部単純X線検査.medicina.40(12):2003. 石灰化病変 ・症状に応じて,尿管結石・胆嚢結石・膵石を探してみよう. ・尿管は直接見えないので,腎臓から膀胱まで追ってみる. 腎臓から膀胱まで追ってみて,石灰化があれば尿管   結石を疑う. 胆嚢結石や膵石は症状に応じてチェック. ポイント 尿管結石は症状の原因となることが多いが,胆嚢  結石や膵石は無症候性のものも多い. 骨盤内では子宮筋腫の石灰化がみられることもある. 注意点 文献3より引用

#34.

骨 34 全体のガスパターン free air 軟部組織 石灰化病変 骨 XXXXX XXXXX 骨をみたいときには骨条件で撮影した方がみやすい. 胸腰椎X線検査については,清書を参照ください. ポイント

腹部単純X線検査のまとめと今後の展望

#35.

まとめ:ルーチンを作ろう 時系列の関係にあるいくつかの項目について説明する時に使用します。 35 ガスパターン 腸管拡張(小腸≧3cm,大腸≧6cm,回盲部≧9cm)があるか. 拡張は限局性かびまん性か.腸管が中央に寄っていないか. free air 臥位:肝臓周囲や肝鎌状間膜を中心に探す. 立位:横隔膜下,肝下部,モリソン窩を中心に探す. 軟部組織 肝・腎・脾の境界:不明瞭なら腹水貯留を疑う. Psoas lineの左右差:あれば後腹膜病変や腹水を疑う. 石灰化 腎臓・尿管・胆嚢・膵臓の位置をイメージしながら結石を探す. 大動脈の石灰化を追ってみる. 1 2 3 4 骨 圧迫骨折の確認. 5

#36.

まとめ

#37.

まとめ ・腹単の適応は限られる.腹単を一枚撮るなら臥位.複数撮れるなら急性腹症シリーズを. ・まずはガスパターンを読めるようになろう. 37 適応 超音波検査やCTができない急性腹症 適応:治療開始後の経過評価としてもOK.その他,デバイスの位置確認なども.      比較用に初めの腹単を撮っても良い(初回のみCT+腹単). 撮り方:基本的に臥位でOK!臥位・胸部単純X線検査と合わせて「急性腹症シリーズ」. 読影:自分なりのルーチンを作ってみよう.まずはガスパターンを読めれば十分!

#38.

超音波やCTがすぐにできない環境で 少しでも役に立つことを願います

Antaa Slide

医師・医学生のためのスライド共有

Antaa QA

医師同士の質問解決プラットフォーム

App StoreからダウンロードGoogle Play Storeからダウンロード

会社概要

Antaa, Inc. All rights reserved.

Follow us on Facebook
Follow us on Twitter