医師・医学生のためのスライド共有

Antaa Slide
診療科
特集

お知らせ

ログイン
頭部MRIを自信を持ってプレゼンする7 Rules L001.png

関連テーマから出会おう。

閲覧履歴からのおすすめ

Antaa Slide
コモンとアンコモンをメタ認知して、脳梗塞の誤診を減らす。

コモンとアンコモンをメタ認知して、脳梗塞の誤診を減らす。

山本大介

続けて閲覧
みんなの脳梗塞診療2025

みんなの脳梗塞診療2025

山本大介

続けて閲覧

1/77

関連するスライド

コモンとアンコモンをメタ認知して、脳梗塞の誤診を減らす。

コモンとアンコモンをメタ認知して、脳梗塞の誤診を減らす。

山本大介

28415

99

みんなの脳梗塞診療2025

みんなの脳梗塞診療2025

山本大介

263497

796

頭部MRIを自信を持ってプレゼンする7 Rules

投稿者プロフィール
山本大介
Award 2024 受賞者

医療法人徳洲会湘南鎌倉総合病院

5,155,116

4,953

投稿した先生からのメッセージ

MRIのプレゼンが及第点レベルでできるようになります。解説動画あり。

本スライドの対象者

医学生/研修医/専攻医

投稿された先生へ質問や勉強になったポイントをコメントしてみましょう!

0 件のコメント

コメントするにはログインしてください

関連するスライド

コモンとアンコモンをメタ認知して、脳梗塞の誤診を減らす。

コモンとアンコモンをメタ認知して、脳梗塞の誤診を減らす。

山本大介

山本大介

28,415

99

みんなの脳梗塞診療2025

みんなの脳梗塞診療2025

山本大介

山本大介

263,497

796

axSpAの画像診断:ASASから学ぶ鑑別診断のコツと落とし穴

axSpAの画像診断: ASASから学ぶ鑑別診断のコツと落とし穴

Shun

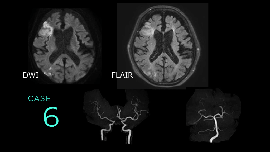
Shun

2,195

11

プラクティカルな脳卒中後てんかん診療 ー患者さんと一緒に治療を選択するー

プラクティカルな脳卒中後てんかん診療 ー患者さんと一緒に治療を選択するー

山本大介

山本大介

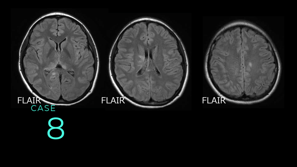
26,725

93


山本大介さんの他の投稿スライド

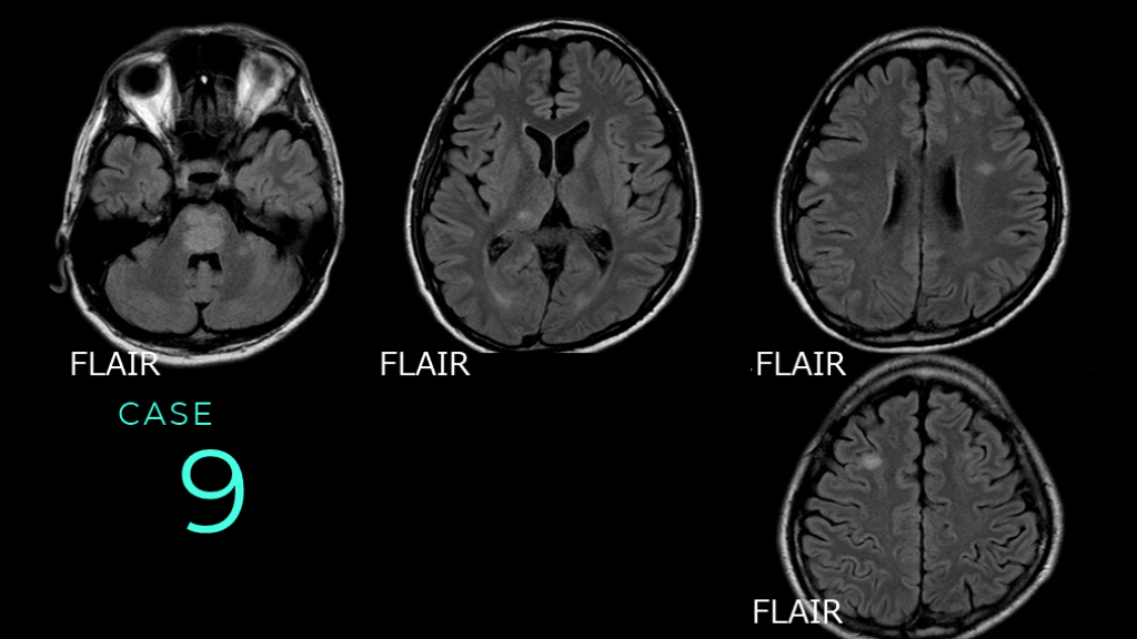
すべて見る


テキスト全文

頭部MRIプレゼンの目的と概要

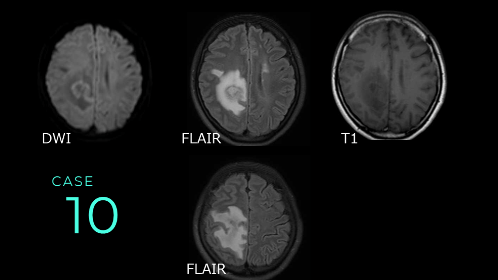
#1.

Daisuke Yamamoto Department of Neurology, Shonan Kamakura General Hospital 頭部MRIを 自信を持ってプレゼンする 7 Rules

#2.

Introduction 頭部MRIを自分でオーダーして、どのように画像を取り扱っていますか? 中枢神経系分野を専門にしない場合には、どのように画像をみて、記載し、また、プレゼンテーションするのか?ということについて、苦手意識がある方もおられると思われます。このスライドでは、頭部MRIを、それなりに堂々とプレゼンテーションできるようになることを目標にしたものです。頭部MRI画像のプレゼンで、ちゃんと画像所見に向き合っているな!と思わせられるような最低限のポイントを学んでください。平易さを重んじて、ルールにまとめて記載しましたので、ルールに沿って表現してみて下さい。

撮像条件の基本的理解とFLAIRの重要性

#3.

撮像条件について T2とかT1とか、どういう意味かを大まかに捉える。 少しでも馴染みを持って理解しよう。

#4.

まずはじめに、 細かいことですが、撮像(さつぞう)なのです。 まずこのタームを押さえましょう。 MRIは撮像(さつぞう)です。CTは撮影(さつえい)です。 「MRIをサツゾウしましたところ・・・・・・」とまずは、このフレーズから会話が始まりますので、開始に登場する”撮像”を押さえましょう。 また、病変の画像変化はMRIは信号(intensiy)であり、CTは濃度(density)です。 例えば、MRIでは、高信号病変は high intensity lesionです。 この、MRIとCTのタームの違いを最初に押さえましょう。

#5.

ここでは実践的な知識の伝達をテーマとさせてください。 T1強調画像:『脳の形がよくわかる画像』と理解して下さい。 T2強調画像:『病変が白く見える画像』 と理解して下さい。 T1は形態評価に使う画像、T2は病変を評価するために使う画像、と まずは大雑把な画像の意味を理解しましょう。 T1強調画像=T1 weighted Image (T1WI) T2強調画像=T2 weighted Image (T2WI)

#6.

T2では、髄液が白く、病変も白く見える(白の中に白を探すことになる)のでコントラストがわかりにくいわけです。FLAIRはT1+T2強調画像として解釈され、T1の特徴で髄液が黒くなり、病変は白いので、黒の中に白を探せることになり、コントラストがついて見やすくなります。つまり、FLAIRは、T2強調画像の見やすいバージョンと言ってもいいかもしれません。よって極論をいうなら、『FLAIRをみればよい』と言うことになります。 まとめると、T1強調画像:形をみる。T2強調画像:病変をみる。FLAIR:病変がより見やすい。よって、いずれか病変が指摘できる場合には、FLAIRを提示する、としてみてください。FLAIRをみればいい、とここでは伝えます。 そして重要なFLAIR。 ここではFLAIRをみよう、とお伝えします。 FLAIR→T1+T2強調画像として理解。 FLAIRはT2の見やすいバージョン。

DWIの役割と脳梗塞評価の重要性

#7.

FLAIRをみればいい。 1 RULE

#8.

DWIについて DWI:Diffusion Weighted Image 拡散強調画像

#9.

脳梗塞が白く(高信号で)みえる撮像条件です。臨床においては、脳梗塞評価は一番と言っていいほど、MRIをオーダーする理由になります。その脳梗塞を判定できるDWIは有用です。臨床現場的には、DWIでの信号変化の有無が、まずは知りたいところです。 よって、プレゼンの最初には、DWIを提示するのがいいでしょう。 DWIは、頻用する便利な撮像方法です。 みな、DWIでの信号変化を知りたいので、 まずはDWIを提示しましょう。

#10.

DWIの高信号病変は、まずは脳梗塞を考慮します。脳梗塞は最もコモンな疾患の一つであり、変調があった場合の上位鑑別になります。 よって、DWIの変化はプレゼンでは一番知りたい情報になります。 DWIで高信号

#11.

まずはDWIを提示する。 2 RULE

脳梗塞の撮像条件の組み合わせと時相の違い

#12.

様々な撮像条件の 意味について 色々ある撮像条件を どのようにプレゼンするのか。

#13.

ここでは、脳梗塞病変をもとに、撮像条件の組み合わせることの意味について理解しましょう。脳梗塞を例にすると、この撮像条件の組み合わせの話がすっきり理解しやすいです。脳梗塞では、撮像条件の組み合わせで病変の新しさ、古さが評価可能です。これを「時相の違い」と表現します。撮像条件の比較による解釈は、ある病変の意味を付加できることになります。 意味の解釈はプロに委ねるとして、まずは記載は試みてみましょう。 脳梗塞病変では、次スライドのごとく、時相の違いが表現されます。 T1、T2、FLAIR、DWIとここまで学んできました。 それぞれの画像で得られる情報には、 それぞれ意味があります。

#14.

時間経過でみる脳梗塞画像の変化 DWI→FLAIR→T1で 経時的に変化がある。

#15.

ラクナ梗塞を例に、MRI所見を記載してみます。    所見:「DWIでは、左側の内包後脚部分に、高信号(HIGHな)病変がある。     同病変はFLAIRでは、信号変化は明らかでない(ISO intensity)。     よって、超急性期の脳梗塞疑いである。」 例:新しい脳梗塞

MRAによる頭蓋内血管評価の基本

#16.

所見:「DWIでは、橋左側にHIGHな病変があり。同病変は、FLAIRでもHIGHである。     よって、発症からやや時間の経過した病変であると推測される。」 ある病変の画像異常が指摘された時、他の撮像条件ではどのように見えるのか、を併記してみてください。DWIで指摘される高信号病変は、FLAIRでは●、T1では●、といった具合です。 例:やや新しい     脳梗塞

#17.

病変を撮像条件ごとに HIGH, LOW, ISOで表現する。 3 RULE

#18.

MRAについて MRA:MR Angiography MRIでは一緒に、頭蓋内血管の評価も可能です。

#19.

簡便に、という言葉を言い換えるなら、造影剤を使用せずに血管系の評価が可能である、という意味です。 血管評価の正確さにおいては、CT angiography(造影CT)に軍配があがります。 MRAも、MRI検査を行う時にはルーチンで検討されるべき撮像条件です。   MRAで理解していただきたいことは、以下の内容です。 前方循環系と後方循環系に分けて評価すること、 最低限の血管の名前を知ること、         の2点です。 続いてMRAについてです。 MRI検査では、MR angiographyという血管系評価が、 簡便に行えることが大きな特徴です。

#20.

脳への血流は、二通りの循環に分かれていることを意識して下さい。臨床的には、前方循環系に起こった問題なのか、後方循環系に起こった問題なのか、はたまた、両方にまたがった問題なのか、が重視されています。血管障害に関連した疾患の評価においては、ことさらこれが重要視されます。実際にMRA画像で、前方循環系と後方循環系の画像が分離して作成されていることも思い出しましょう。 前方循環と 後方循環にわけて 前方循環 後方循環

#21.

MRAは前方循環、後方循環 わけてみること。 4 RULE

頭蓋内血管の名称と重要な表現

#22.

頭蓋内血管の 最小限の名称について シンプルなので、これは覚えましょう。

#23.

前方循環、後方循環それぞれ三つずつ覚えましょう。 前方循環系:内頸動脈 ICA 中大脳動脈 MCA 前大脳動脈 ACA 後方循環系:椎骨動脈 VA  脳底動脈 BA  後大脳動脈 PCA 解剖知識がでてくると、 学習の阻害要因になってしまいがちなのですが、 最小限、学んでください。 ミニマムではそこまで難しくありません。

#24.

血管の名称とともに、以下のフレーズも覚えると便利です。 ・動脈硬化性変化が強い(オールマイティな表現。) ・狭窄がある ・蛇行している    (蛇行は動脈硬化を反映した変化である。) ・口径不整が目立つ  (よく使う。血管がデコボコしている感じ。)          例:「左MCAの狭窄が認められ、描出不良です。」 血管の名称 MCA ACA MCA ICA VA BA PCA

#25.

最小限の血管は覚える。 5 RULE

T2*撮像の重要性と出血病変の評価

#26.

T2*は結構大切 T2*(ティーツースター)は重要。 ルーチンで加えられるべき撮像条件。

#27.

概ねルーチンで撮像されることが多いので、T2*は必修内容であります。ヘモグロビン(出血病変)は代謝されるとヘモジデリンに変化します。T2*はヘモジデリン沈着が低信号で表現される条件です。出血病変について臨床情報を増やしてくれます。 Microbleeds (Cerebral microbleeds: CMBs)というタームを覚えて下さい。これは、過去の微少脳出血を表現しています。Microbleedsが確認できるなら、その人は脳出血のハイリスクであることが理解できます。 他の撮像条件に加えて、T2*も、目を通してもらいたいです。 T2*強調画像について。 T2*→「ティーツースター」と読みます。 出血病変が低信号で見えます。

#28.

T2*は、出血病変かどうかに悩んだ時に有用です。いつも目を通すようにしてみて下さい。また、上記のようなmicrobleedsの存在は、抗血栓薬を導入する場合の、出血リスクを勘案するのにも、臨床情報になりえます。抗血栓薬を使用する診療科の先生は、投与前にMRI情報を確認してみて下さい。 T2*強調画像 基底核レベルでT2*で点状の低信号域あり。 Microbleedsとして評価される。陳旧性の微少出血脳出血評価。FLAIRではよくわからない。

#29.

T2*にも言及する。 6 RULE

#30.

最後のルール 脳の場所を表現する やはり病変の場所は記載が必要です。

脳の部位を表現するための基本ルール

#31.

大雑把な説明といて、加えていただきたいのは皮質か白質か?です。この表現を加えるだけで、少し立体的になります。「皮質に高信号病変がある」「白質病変がある」  「皮質を含んだ白質に病変がある」と記載してみて下さい。 1 皮質にある   白質にある ①「皮質を含んだ白質に   高信号変化がある。」 ②「白質に病変がある。」 ① ②

#32.

これも許容範囲でしょう。大脳の病変、小脳の病変。 また大脳と小脳をつないでいる脳幹の病変。ミニマムではこの記載をしましょう。 2 大脳・小脳   脳幹 大脳 小脳 脳幹

#33.

大脳は4つの領域に分けられます。 細かい表現をさけるなら、「前頭葉に病変がある」、でいいと思います。 これが記載できれば十分です。 3 前頭葉 頭頂葉   側頭葉 後頭葉

#34.

基底核レベルのスライス/放線冠レベルのスライス 脳の内部病変においてはこの二つのスライスにある、という表現方法を加えてみて下さい。脳の深い部分を表現するのに便利な表現です。また脳梗塞病変を表現するのに便利な表現ですので、覚えてみて下さい。 例:「放線冠レベルのスライスにDWIで高信号病変がある」 4 基底核レベル   放線冠レベル 基底核レベル 放線冠レベル

#35.

最低限の解剖部位を 表現に加える。 7 RULE

ケーススタディの進め方とDWIの提示

#36.

ケーススタディ ここからは、いくらかケースのMRIを 記載していきます。

#37.

画像提示の順番 まずはDWIから見せましょう(ルール2) 指摘できる病変がDWI・FLAIRでそれぞれどう見えるか表現しましょう(ルール3) とりあえず一枚だけ見せるならFLAIRを見せましょう(ルール1) T2*も加えましょう(ルール6) MRAは最後に提示しましょう(ルール4/5) 病変がどこにあるのか、記載しましょう(ルール7) DWI FLAIR T2* MRA

#38.

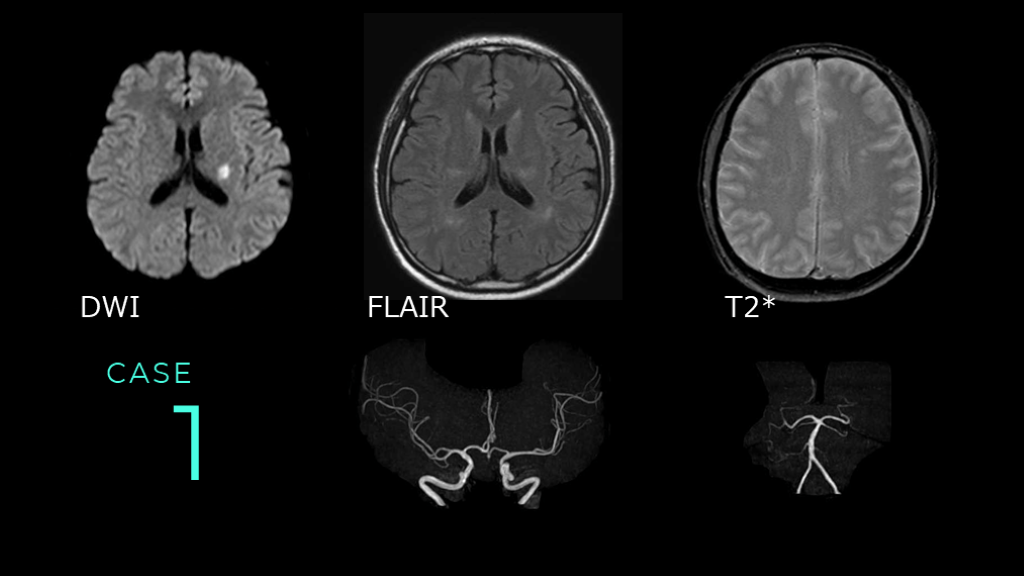
1 CASE DWI FLAIR T2*

#39.

1 CASE DWIでは基底核レベルのスライスで左側に高信号病変を認める。FLAIRでは同病変は等信号である。 T2*ではmicrobleedsは認めない。 DWI      FLAIR

#40.

1 CASE MRAでは、前方循環系・後方循環系ともに目立った血管狭窄病変は認められない。

#41.

1 CASE コメント: DWI HIGH、FLAIR ISOの信号変化であり、超急性期の脳梗塞病変です。左の中大脳動脈(MCA)の穿通枝領域梗塞。 脳梗塞疑いの場合には、血管支配に一致した病変であるかどうかを検討しています。 これは典型的なラクナ梗塞画像。

具体的な症例に基づくMRIの解釈とプレゼンテーション

#42.

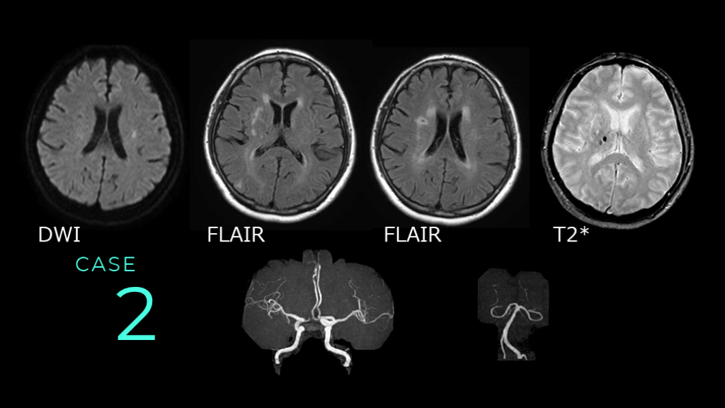
2 CASE DWI FLAIR FLAIR T2*

#43.

2 CASE DWIで放線冠レベルのスライスで 淡い高信号の白質病変を認める。 DWI

#44.

CASE 2 DWIで指摘された病変はFLAIRでは目立たない。 FLAIRでは、脳室周囲の白質に高信号病変が散在している。 FLAIR      FLAIR

#45.

2 CASE T2*では、右側大脳の基底核レベルのスライスに、microbleedsが指摘できる。 T2*

#46.

CASE 2 MRAでは、前方循環・後方循環ともに全体的な口径不整や血管蛇行が目立つ。

#47.

2 CASE コメント: FLAIRでは脳室周囲の白質に高信号病変を認め、陳旧性虚血性変化があります。T2*では出血痕があり、MRAでも動脈硬化性変化が指摘できます。総じては血管障害リスクが高い、と読み取れます。 症例はDWIで指摘される、ラクナ梗塞。

#48.

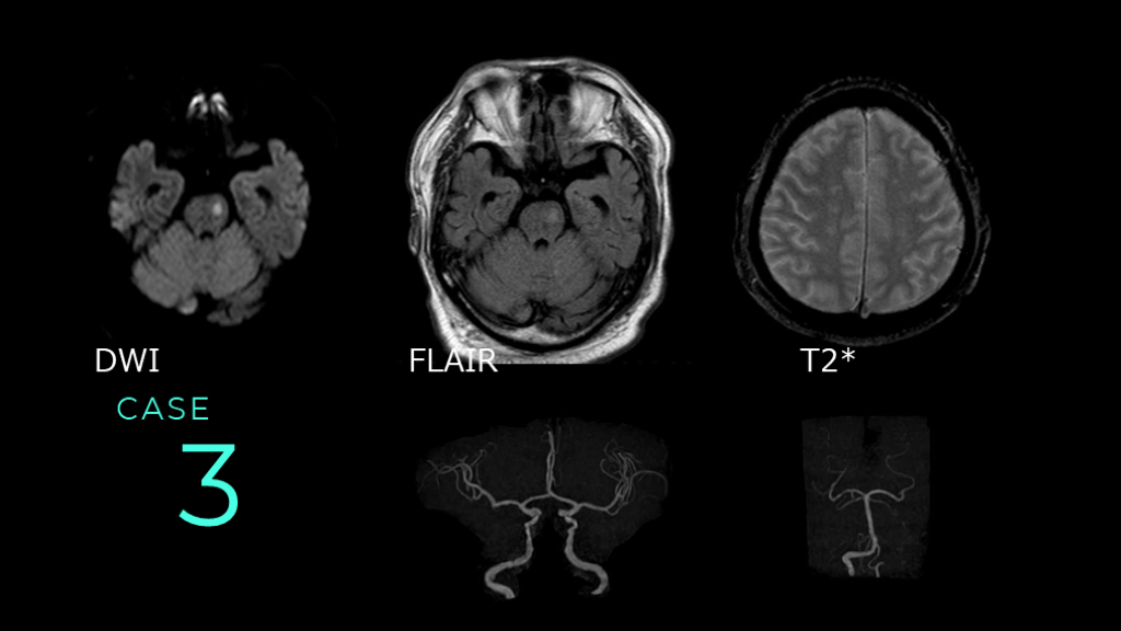
CASE 3 DWI FLAIR T2*

#49.

CASE 3 DWIでは左側の脳幹に高信号病変を認める。 同病変は、FLAIRではやや高信号を呈している。

#50.

CASE 3 MRAでは前方循環系はICAの口径不整が認められる。 後方循環系は、左のVAが右より細く描出されている。

#51.

CASE 3 コメント: 脳幹のラクナ梗塞。DWI HIGHでFLAIRもHIGHなので、やや時間のたった病変であることがポイントです。 なお、左VAは先天的な低形成と推測されます。

#52.

CASE 4 DWI DWI FLAIR

#53.

CASE 4 DWIでは、左側小脳に散在性の高信号病変を認める。 同病変はFLAIRでは目立たない。 DWI DWI FLAIR

#54.

CASE 4 MRAでは粗大な血管狭窄病変は、前方循環と後方循環ともに、目立たない。後方循環系は血管蛇行が認められる。

#55.

CASE 4 コメント:小脳梗塞症例。小脳への血流は後方循環系によるので、臨床情報としては、後方循環系の血管狭窄があるかどうかが知りたい内容になります。

#56.

CASE 5 DWI FLAIR T1 T2*

#57.

CASE 5 DWIでは左の前頭葉を中心に、皮質を含んだ白質に広範な高信号病変を認める。同病変はFLAIRでHIGH、T1WIでLOWである。数日経過した亜急性期の脳梗塞病変疑いである。 DWI FLAIR T1

#58.

CASE 5 T2*では、DWIでの信号変化を認める病変の内部に低信号病変を認め、出血病変の合併が示唆される。 DWI T2*

#59.

CASE 5 DWI→FLAIR→T1まで信号変化を認めるので、時間のたった脳梗塞病変だとわかる。また、T2*で出血病変が指摘できた。T2*がなければ判断は難しいので、ここでは出血性病変の指摘にT2*が役に立った。 DWI FLAIR T1 T2*

#60.

CASE 6 DWI FLAIR

#61.

CASE 6 DWIでは右前頭葉の皮質と白質に高信号病変を認める。また、側頭葉の皮質・白質にも高信号病変がある。これら病変は、FLAIRでも淡い高信号変化を認める。

#62.

CASE 6 ACAは両側左のICAからの血流が主である。 左のVAは描出なく、先天性低形成が疑われる。 これらはnormal variantsと推測される。

#63.

CASE 6 コメント:アテローム血栓性脳梗塞症例。皮質と白質を含む病変であること、前頭葉と側頭葉にあること、DWIとFLAIRでHIGHであることを述べる。

#64.

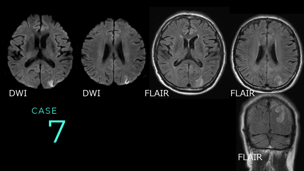
CASE 7 DWI DWI FLAIR FLAIR FLAIR

#65.

CASE 7 DWIでは左の後頭葉と頭頂葉皮質の高信号変化あり。 FLAIRではDWI病変の皮質を含む白質の淡い高信号変化を認める。 DWI DWI FLAIR FLAIR

#66.

CASE 7 コメント:脳炎症例。 DWI所見よりもFLAIR所見の方が広い。 ここまでの脳梗塞症例とは画像の違いがわかる。

#67.

8 CASE FLAIR FLAIR FLAIR

#68.

8 CASE DWIでは信号変化がないので、FLAIRのみ提示。 基底核レベルのスライスで、左側脳室近傍の高信号変化あり。放線冠レベルのスライスでも、右側脳室に沿った高信号病変あり。前頭葉白質にも斑状高信号病変あり。

#69.

8 CASE コメント:多発性硬化症の症例。他の撮像条件で信号変化が特になかったので、1つ提示するならFLAIRをみせよう、という症例。

#70.

9 CASE FLAIR FLAIR FLAIR FLAIR

#71.

9 CASE FLAIRで高信号病変が散在している。脳幹、脳深部、前頭葉白質に斑状の高信号病変が認められる。

#72.

9 CASE コメント:ADEMの症例。これも1つ提示するならFLAIR、としてプレゼンする。一部皮質も含むが、白質病変主体である、というニュアンスを強調している。

#73.

10 CASE DWI FLAIR T1 FLAIR

#74.

10 CASE DWIでは右側頭頂部に淡いLOWの病変あり。FLAIRでは内部にややHIGHの腫瘤性病変があり、その周囲の白質に高信号病変がある。同病変はT1ではLOWである。 DWI FLAIR T1

#75.

10 CASE コメント:脳腫瘍症例。Mass effectといって、FLAIR HIGHで見える高信号病変が、腫瘤の周囲に認められる。

#76.

専門診療科が[体得]している[生きた言語]は、やはりその環境に身をおいて、このタームでいいんだ、と理解しながらでないと使いにくいものです。このスライドでは、言語表現を絞って、ある程度適切に表現できる方法を学べるように作成しています。よくわからない、という感情でブラックボックスにおいてある頭部MRIが、身近なものになり、臨床に役立つなら幸いであります。 TAKEHOME MESSAGE!


山本大介さんのインタビュー

山本大介さんのインタビュー
Antaa Slide

医師・医学生のためのスライド共有

Antaa QA

医師同士の質問解決プラットフォーム

App StoreからダウンロードGoogle Play Storeからダウンロード

会社概要

Antaa, Inc. All rights reserved.

Follow us on Facebook
Follow us on Twitter