医師・医学生のためのスライド共有

Antaa Slide
診療科
特集

お知らせ

ログイン
アスベスト曝露患者に生じた円形腫瘤といったらコレ!! 円形無気肺 (round atelectasis) の画像診断まとめ L1.png

関連テーマから出会おう。

閲覧履歴からのおすすめ

Antaa Slide
原点回帰!胸部単純写真の読影 ~単純なことって、実は一番難しいんじゃないの?って話 健康診断のバイトを始める前に、読むべき心得書~

原点回帰!胸部単純写真の読影 ~単純なことって、実は一番難しいんじゃないの?って話 健康診断のバイトを始める前に、読むべき心得書~

武田美貴

続けて閲覧
押さえておきたい脾臓腫瘤といえばコレ!! SANT (sclerosing angiomatoid nodular transformation) の画像診断まとめ

押さえておきたい脾臓腫瘤といえばコレ!! SANT (sclerosing angiomatoid nodular transformation) の画像診断まとめ

和田武

続けて閲覧

1/42

関連するスライド

原点回帰!胸部単純写真の読影 ~単純なことって、実は一番難しいんじゃないの?って話 健康診断のバイトを始める前に、読むべき心得書~

原点回帰!胸部単純写真の読影 ~単純なことって、実は一番難しいんじゃないの?って話 健康診断のバイトを始める前に、読むべき心得書~

武田美貴

13042

103

アスベスト曝露患者に生じた円形腫瘤といったらコレ!! 円形無気肺 (round atelectasis) の画像診断まとめ

投稿者プロフィール
和田武

帝京大学医学部附属病院

27,030

61

概要

アスベスト曝露患者に発生する良性病変として重要な円形無気肺について,症例をベースとして解説したスライドです.このスライドでは,

1.円形無気肺の概要

2.円形無気肺の画像診断

3. 円形無気肺と鑑別すべき悪性疾患

について学ぶことが出来ます.特徴的な所見を押さえれば,過剰な検査を行わなくても診断可能な疾患ですので,今回のスライドで診断のツボを押さえておきましょう.

■画像診断クラブとは?(グループの概要と登録ページ)

https://bit.ly/3lBc1tB

■画像診断クイズ Case 57 へのリンク(アプリで画像を確認)

https://qa.antaa.jp/threadId/1863

■10分で学ぶ! 画像診断クイズ Case Review #57 (動画での解説 2022/2/22 20:00 ~ open)

https://qa.antaa.jp/stream/contents/264

本スライドの対象者

専攻医/専門医

投稿された先生へ質問や勉強になったポイントをコメントしてみましょう!

0 件のコメント

コメントするにはログインしてください

関連するスライド

原点回帰!胸部単純写真の読影 ~単純なことって、実は一番難しいんじゃないの?って話 健康診断のバイトを始める前に、読むべき心得書~

原点回帰!胸部単純写真の読影 ~単純なことって、実は一番難しいんじゃないの?って話 健康診断のバイトを始める前に、読むべき心得書~

武田美貴

武田美貴

13,042

103

押さえておきたい脾臓腫瘤といえばコレ!! SANT (sclerosing angiomatoid nodular transformation) の画像診断まとめ

押さえておきたい脾臓腫瘤といえばコレ!! SANT (sclerosing angiomatoid nodular transformation) の画像診断まとめ

和田武

和田武

212,757

123

若年者の非典型的な脳卒中をみたらこの疾患をチェックしよう!脳静脈血栓症の画像診断まとめ

若年者の非典型的な脳卒中をみたらこの疾患をチェックしよう! 脳静脈血栓症の画像診断まとめ

和田武

和田武

120,540

155

肘関節部の腫瘤といえばコレ!! 肘頭滑液包炎 (olecranon bursitis) の画像診断まとめ

肘関節部の腫瘤といえばコレ!! 肘頭滑液包炎 (olecranon bursitis) の画像診断まとめ

和田武

和田武

52,139

27


和田武さんの他の投稿スライド

すべて見る


テキスト全文

アスベスト曝露患者の症例紹介

#1.

千葉大学医学部附属病院放射線科 和田武

#2.

Case: 70代男性 右肺腫瘤

#3.

Case: 70代男性 検診の胸部単純X線写真で異常を指摘された.

胸部X線写真とCTの画像診断

#4.

胸部単純X線写真 正面像 4

#5.

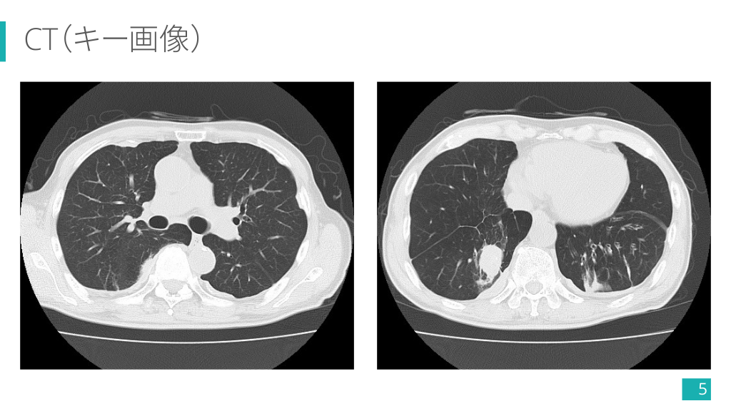
CT(キー画像) 5

#6.

CT(キー画像拡大) 軸位断① 軸位断② 6

#7.

CT(キー画像拡大) 軸位断③ 縦隔条件 7

#8.

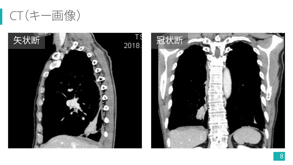
CT(キー画像) 矢状断 冠状断 8

#9.

FDG-PET/CT(キー画像) 軸位断 9

#10.

Question 診断は? A. 肺癌 B. 転移性肺腫瘍 C. 悪性胸膜中皮腫 D. 円形無気肺 10

診断の流れと経過観察の方針

#11.

画像診断クラブでも読影することができます. ( https://qa.antaa.jp/threadId/1863 ) 11

#12.

正解は?

#13.

胸部単純X線写真 Ø 多発する不整軟部影や石灰化. Ø 右下肺野腫瘤影. Ø 左下肺野索状影. アスベスト関連疾患?? 13

#14.

CT(キー画像) 多発胸膜プラーク(一部石灰化+) 右肺下葉の卵円形腫瘤 14

#15.

CT(キー画像) 腫瘤へと曲線的に収束する気管支血管束 (comet tail sign) 15

#16.

CT, FDG-PET/CT 矢状断 肥厚胸膜から連続する腫瘤 FDG-PET/CT 淡いFDG集積(縦隔より弱い) 16

#17.

Question 診断は? A. 肺癌 B. 転移性肺腫瘍 C. 悪性胸膜中皮腫 D. 円形無気肺 17

#18.

Question 診断は? A. 肺癌 B. 転移性肺腫瘍 C. 悪性胸膜中皮腫 D. 円形無気肺 18

#19.

その後の経過 Ø 経過観察の方針となった.その後,特に増大なし. 19

円形無気肺の概要と関連疾患

#20.

TODAY’S MESSAGE アスベスト曝露が疑われる患者の卵円形腫瘤を見たら, 円形無気肺の可能性を想起しよう.

#21.

円形無気肺の概要 円形無気肺の画像診断 円形無気肺の鑑別疾患

#22.

円形無気肺の概要 円形無気肺の画像診断 円形無気肺の鑑別疾患

#23.

1-5) 円形無気肺とは Ø 円形ないし卵円形の腫瘤影とし て認められる無気肺の一型. Ø ほとんどがアスベスト関連疾患 (結核性胸膜炎や細菌性胸膜炎なども原因となる). Ø 胸水による圧排や胸膜の線維 化などが原因と考えられている. Ø 無症状で検査所見も非特異的. 4) より引用 Case courtesy of Dr Matt Skalski, Radiopaedia.org, rID: 53333 23

#24.

アスベスト関連疾患 胸膜病変 肺病変 胸水 石綿肺 限局性胸膜プラーク 円形無気肺 胸膜石灰化 肺癌 びまん性胸膜肥厚 悪性胸膜中皮腫 24

円形無気肺の画像診断の特徴

#25.

円形無気肺の概要 円形無気肺の画像診断 円形無気肺の鑑別疾患

#26.

1-5) 円形無気肺の画像診断 Ø 肺野末梢に位置する円形/卵円形 の結節影・腫瘤影. Ø 肺の容積減少や胸水,胸膜プラー クなどの随伴所見を確認する. Ø 胸膜プラークは横隔膜面に着目!! 4) より引用 Case courtesy of Dr Matthew Lukies, Radiopaedia.org, rID: 45643 26

#27.

1-5) 円形無気肺の画像診断 Ø 両肺下葉に多い. Ø 単発 > 多発・両側性. Ø 2.5 cm 〜 5.0 cm 程度の大きさ のものが多い. Ø 経時的に増大せず縮小することも. Ø 胸膜プラークや石綿肺など アスベスト関連疾患の有無も重要. 4) より引用 Case courtesy of Dr Hidayatullah Hamidi, Radiopaedia.org, rID: 90658 27

#28.

1-5) 円形無気肺の画像診断 Ø 肥厚した胸膜から連続し,胸膜と 鋭角をなす円形/卵円形腫瘤. Ø 腫瘤に向かい,気管支血管束が曲 線的に収束する像 (comet tail sign) が特徴的. Ø 造影効果は様々. 5) より引用 28

#29.

6) 円形無気肺の画像診断 Ø 糖代謝の活動性は低い. Ø 縦隔の FDG 集積と比較して, 同程度か低い. 悪性腫瘍との鑑別に有用. 29

円形無気肺の鑑別疾患と重要性

#30.

円形無気肺の概要 円形無気肺の画像診断 円形無気肺の鑑別疾患

#31.

円形無気肺の鑑別疾患 Ø 形態やアスベスト曝露歴などから多くは円形無気肺と診断可能. Ø 同じくアスベスト関連疾患として生じる原発性肺癌との鑑別は臨床的 に重要度が高い. 31

#32.

2) 鑑別を要するアスベスト関連疾患(肺癌) Ø 職業的曝露者の20-25%に, 曝露後25-35年程度で発症する. Ø 石綿肺が先行することが多い. Ø 組織型は様々で,画像上は通 常の肺癌と同様. 2) より引用 32

#33.

5) アスベスト関連疾患(悪性胸膜中皮腫) Ø 円形無気肺との鑑別は問題と ならないが,重要疾患. Ø 75%がアスベスト曝露と関連. Ø 片側性胸水や不整なびまん性 胸膜肥厚,腫瘤形成などを示す. Ø 葉間裂に沿った進展や胸壁・他 臓器浸潤をきたす. 5) より引用 33

症例を通じた診断の復習

#34.

今回の症例で診断の流れを復習!! ① 胸膜プラークが多発してるし, アスベスト曝露ありそうだな〜. ② 右下肺野に腫瘤影あるな〜. ③ CTでも胸膜プラーク多発してる. ④ 右肺下葉の腫瘤は胸膜から連 続して comet tail sign もありそう. ⑤ FDG の集積も縦隔より弱い!! 円形無気肺でよさそう 34

#35.

今回の症例で診断の流れを復習!! ① 胸膜プラークが多発してるし, アスベスト曝露ありそうだな〜. ② 右下肺野に腫瘤影あるな〜. ③ CTでも胸膜プラーク多発してる. ④ 右肺下葉の腫瘤は胸膜から連 続して comet tail sign もありそう. ⑤ FDG の集積も縦隔より弱い!! 円形無気肺でよさそう 35

#36.

今回の症例で診断の流れを復習!! ① 胸膜プラークが多発してるし, アスベスト曝露ありそうだな〜. ② 右下肺野に腫瘤影あるな〜. ③ CTでも胸膜プラーク多発してる. ④ 右肺下葉の腫瘤は胸膜から連 続して comet tail sign もありそう. ⑤ FDG の集積も縦隔より弱い!! 円形無気肺でよさそう 36

#37.

今回の症例で診断の流れを復習!! ① 胸膜プラークが多発してるし, アスベスト曝露ありそうだな〜. ② 右下肺野に腫瘤影あるな〜. ③ CTでも胸膜プラーク多発してる. ④ 右肺下葉の腫瘤は胸膜から連 続して comet tail sign もありそう. ⑤ FDG の集積も縦隔より弱い!! 円形無気肺でよさそう💡 37

アスベスト関連疾患の重要メッセージ

#38.

TODAY’S MESSAGE アスベスト曝露が疑われる患者の卵円形腫瘤を見たら, 円形無気肺の可能性を想起しよう.

#39.

Ø 肺腫瘤を見た際は,胸膜プラークや石綿肺などの所見を忘れず拾い上げ, 背景肺の状況を想定してから,鑑別疾患を進めよう.

#40.

参考文献 1. 中村博幸. ピットフォール 円形無気肺. 呼吸. 2009;28(12):1215-1218. 2. 大野良治, 杉村和朗. 【アスベスト関連疾患】アスベスト関連疾患の画像診断. 医学のあゆみ. 2006;219(1112):831-836. 3. 負門克典. 【呼吸器疾患の鑑別診断-「基本画像パターン」,「病態」,「経過」】無気肺. 呼吸器ジャーナル. 2020;68(1):106-112. 4. https://radiopaedia.org/articles/round-atelectasis?lang=us 5. Roach HD, Davies GJ, Attanoos R, Crane M, Adams H, Phillips S. Asbestos: When the Dust Settles—An Imaging Review of Asbestos-related Disease. RadioGraphics. 2002;22(suppl_1):S167-S184. 6. McAdams HP, Erasums JJ, Patz EF, Goodman PC, Coleman RE. Evaluation of patients with round atelectasis using 2-[18F]-fluoro-2-deoxy-D-glucose PET. J Comput Assist Tomogr. 1998;22(4):601-604.

参考文献と追加リソース

#41.

10分で学ぶ! 画像診断クイズ #57 動画での解説はこちら から!! https://qa.antaa.jp/stream/contents/264

Antaa Slide

医師・医学生のためのスライド共有

Antaa QA

医師同士の質問解決プラットフォーム

App StoreからダウンロードGoogle Play Storeからダウンロード

会社概要

Antaa, Inc. All rights reserved.

Follow us on Facebook
Follow us on Twitter