医師・医学生のためのスライド共有

Antaa Slide
診療科
特集

お知らせ

ログイン

このスライドは会員限定コンテンツです。
今すぐアカウント登録(無料)して、続きを読みましょう!

敗血症に合併した血小板減少症の鑑別診断等について L001.png

すでにアカウントをお持ちの方はこちら

1/36

関連するスライド

症例から学ぼう!敗血症~複雑性腎盂腎炎から敗血症性ショックを呈したHAMの一例~

症例から学ぼう!敗血症~複雑性腎盂腎炎から敗血症性ショックを呈したHAMの一例~

ゆっくり救急医

23688

61

敗血症に合併した血小板減少症の鑑別診断等について

投稿者プロフィール
海老原研一

医療法人社団三喜会横浜新緑総合病院

33,567

84

概要

 当院で実施した症例検討会のスライドを、個人情報保護のため一部内容を変更してアップロードしました。

 内容としては、①敗血症患者の輸液反応性評価について, ②ヘパリン誘発性血小板減少症を疑った際の精査や治療, ③造影剤使用後のAKIの頻度などについて, ④終末期医療に関するガイドラインの紹介, の4点がメインとなっています。

 個人情報保護・著作権保護の観点から閲覧のみに留め、頒布はご遠慮下さいますようお願い申し上げます。

本スライドの対象者

研修医/専攻医/専門医

投稿された先生へ質問や勉強になったポイントをコメントしてみましょう!

0 件のコメント

コメントするにはログインしてください

関連するスライド

症例から学ぼう!敗血症~複雑性腎盂腎炎から敗血症性ショックを呈したHAMの一例~

症例から学ぼう!敗血症~複雑性腎盂腎炎から敗血症性ショックを呈したHAMの一例~

ゆっくり救急医

ゆっくり救急医

23,688

61

【J-SSCG2024準拠】敗血症診療のまとめ

【J-SSCG2024準拠】敗血症診療のまとめ

三谷雄己

三谷雄己

4,996,888

4,797

救急当直で血小板減少に出会ったら 夜間検査でも鑑別できる?

救急当直で血小板減少に出会ったら 夜間検査でも鑑別できる?

ゆっくり救急医

ゆっくり救急医

119,210

761

妊婦に与える画像検査の影響とは?X線/CT/MRI

妊婦に与える画像検査の影響とは?X線/CT/MRI

丸山陽介

丸山陽介

61,794

272


海老原研一さんの他の投稿スライド

すべて見る


テキスト全文

脳梗塞に伴う急性呼吸不全の症例

#1.

【救急症例検討会】脳梗塞にAKI, 急性呼吸不全を併発した症例

#2.

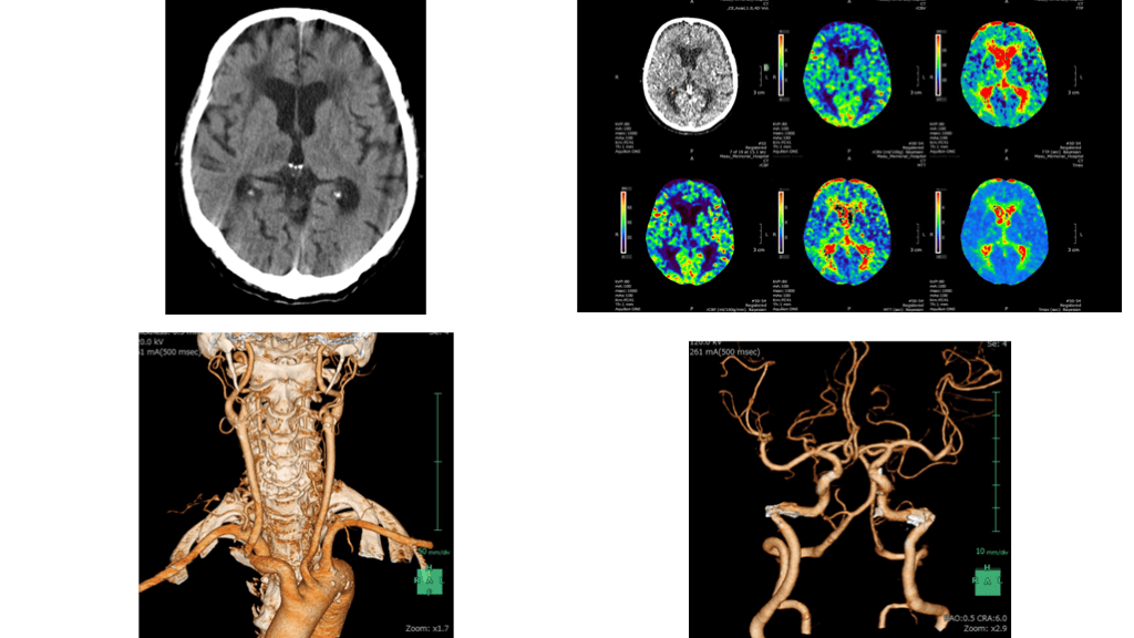
症例提示 90歳代男性 【現病歴】某年X月Y日午後7時頃最終健常確認。Y+1日午前8時頃、家族によって ベッド脇に座り込んで, 呂律障害・左片麻痺を来しているところを発見され救急 要請された。救急隊現着時に左片麻痺と構音障害を認めた。9時頃当院へ収容 された。 内服:近医からシロスタゾール 50mg 2T2x, ニザチジンcap150mg 2C2x, メマンチン20mg 1T1x etc. 既往歴:今年2月の頭部CT所見を基にラクナ梗塞と診断, 高血圧, 胃潰瘍, 認知症 【来院時現症】HR 127, BP 168/107, JCS I-2(GCS E4V4M6):見当識障害あり, 瞳孔径 2.5/2.5, 左片麻痺あり, 構音障害なし 【画像所見】 頭部単純CT:有意所見なし 頭部造影CT:3DCTA上は主幹動脈閉塞なし, Perfusionにて右MCA末梢再開通 を示唆する所見あり。

入院後の経過と問題リスト

敗血症診療ガイドラインと議題

輸液反応性の評価とその重要性

血小板減少症の鑑別診断とHIT

HITの症状、診断、治療法

造影剤使用後のAKIの頻度と研究

終末期医療に関するガイドライン

会員登録・ログインで「スライド内のテキスト」を参照いただけます。

Antaa Slide

医師・医学生のためのスライド共有

Antaa QA

医師同士の質問解決プラットフォーム

App StoreからダウンロードGoogle Play Storeからダウンロード

会社概要

Antaa, Inc. All rights reserved.

Follow us on Facebook
Follow us on Twitter