医師・医学生のためのスライド共有

Antaa Slide
診療科
特集

お知らせ

ログイン
医師必見!グラム染色の重要性と活用法 L001.png

関連テーマから出会おう。

閲覧履歴からのおすすめ

Antaa Slide
医療×行動経済学でひも解く行動変容の仕掛け/2026.05.12 Antaa ウェビナー

医療×行動経済学でひも解く行動変容の仕掛け/2026.05.12 Antaa ウェビナー

水野篤

続けて閲覧
ARDS STANDARD CARE ARDS患者を悪くしないためになにをしたらいいのか?

ARDS STANDARD CARE ARDS患者を悪くしないためになにをしたらいいのか?

ゆっくり救急医

続けて閲覧

1/41

関連するスライド

医療×行動経済学でひも解く行動変容の仕掛け/2026.05.12 Antaa ウェビナー

医療×行動経済学でひも解く行動変容の仕掛け/2026.05.12 Antaa ウェビナー

水野篤

9012

34

医師必見!グラム染色の重要性と活用法

投稿者プロフィール
Yofection

堺市立

6,808

5

概要

グラム染色は、細菌の型を特定するための重要な技術です。本サービスでは、クリスタルバイオレットで染まるグラム陽性菌と、サフラニンで染まるグラム陰性菌の違いや、その識別方法について詳しく解説します。また肺炎の面でも、適切な検体の重要性や各種病名の知識を深めるための情報を提供します。実際の検査結果や事例を基に、臨床現場でのグラム染色の活用方法や診断の参考にしていただける内容となっています。医師として重要な知識を身につけ、患者の治療に役立てましょう。

本スライドの対象者

医学生/研修医/専攻医

投稿された先生へ質問や勉強になったポイントをコメントしてみましょう!

0 件のコメント

コメントするにはログインしてください

関連するスライド

医療×行動経済学でひも解く行動変容の仕掛け/2026.05.12 Antaa ウェビナー

医療×行動経済学でひも解く行動変容の仕掛け/2026.05.12 Antaa ウェビナー

水野篤

水野篤

9,012

34

ARDS STANDARD CARE ARDS患者を悪くしないためになにをしたらいいのか?

ARDS STANDARD CARE ARDS患者を悪くしないためになにをしたらいいのか?

ゆっくり救急医

ゆっくり救急医

163,304

704

この症状、いま専門医に相談すべきか?苦手なままにしない!見逃すと危ない膠原病/2026.04.08 Antaa ウェビナー

この症状、いま専門医に相談すべきか?苦手なままにしない!見逃すと危ない膠原病/2026.04.08 Antaa ウェビナー

中村海人

中村海人

19,867

116

大動脈瘤 ~CT撮ってみたら…なんかデカいのが写ってる…~

大動脈瘤 ~CT撮ってみたら…なんかデカいのが写ってる…~

ポン太@心外・集中治療

ポン太@心外・集中治療

28,209

191




テキスト全文

グラム染色の基本と評価方法

#1.

グラム染色はどのように評価していくのか? 内科レクチャー 感染症内科

#2.

何かわかりますか?

#3.

グラム染色とは Christian Gram博士によって開発されたもの 濃い紫(クリスタルバイオレットの色)を呈するものをグラム陽性、ピンク色(サフラニンまたはパイフェル液)に染まるものをグラム陰性菌という。そして丸いものを球菌、四角いものを桿菌とそれぞれいって、その組み合わせで表現する

肺炎における喀痰の重要性

#8.

この違いはなぜ大切?

心不全と赤血球の関係

#11.

その前に・・・ 痰が増えているけど、それって肺炎???

#12.

例えば・・・

検体の適性と分類方法

#13.

肺炎の疾患名で提出された喀痰 Miller and JonesはM1 Geckler分類は場所によっては5だが、大半6

#15.

メカニズムを考えてみる 右心室 左心室 左心房 肺動脈 肺静脈 ポンプとしての 機能が不十分

#16.

https://www.ac-illust.com/main/detail.php?id=23667419 通常であればリンパ路によって 再吸収され水分は取り除かれるが 量が多くて間に合わない

#17.

https://遠隔画像診断.jp/archives/5931 中枢側では血管が集中し、間質が豊富 胸膜直下はリンパ流や間質構造が 違い、sparingしやすい

#18.

肺炎の疾患名で提出された喀痰 時間が経って壊れた赤血球(赤血球顆粒) を貪食するマクロファージ

#19.

慢性的に赤血球が気管内に漏れる病態である心不全では、壊れた赤血球のかけらであるヘモシデリンがマクロファージに貪食される像が認められ、これは心不全細胞と呼ばれる chapter 12. p.532 The Heart. Robbins and Cotran. Pathologic basis of Diseases 10th edition. Elsevier

#20.

その検体は検査に適しているのか? Miller and Jones分類

急性白血病患者の検査結果

#21.

その検体は検査に適しているのか? Geckler分類

#22.

Haemophilus influenzae Moraxella catarrhalis Streptococcus pneumoni

#23.

Miller and Jonesは悪いけど WBCは非常に少ないが 菌がびっしり

#24.

その検体は検査に適しているのか? Geckler分類

#25.

患者は 急性白血病で化学療法中(day 16) 前日の血液検査ではWBC 490/μL, neutrophil 0/μL 血圧低下あり MEPM+VCMがすでに数日投与後

#26.

背景をちゃんと見れると デンプン ビリルビン様構造物 腸が破れているかどうかも推測できる

グラム陽性菌の鑑別と特徴

#27.

少しだけ各論

#28.

グラム陽性菌の鑑別

グラム陰性桿菌の鑑別法

#31.

グラム陽性菌の鑑別

#32.

嫌気ボトル 好気ボトル

#33.

グラム陰性桿菌の鑑別

#34.

まずは自分で基準を確立

血液培養とカンファレンスの実施

#35.

大腸菌と比較して・・・ 染色性が薄い 細い

#36.

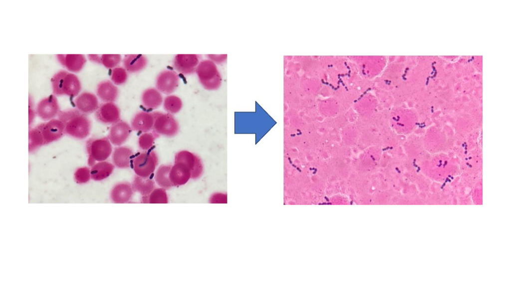
菌の並び方も参考になる

#37.

グラム染色が読めたら格好ええけど・・・

#38.

毎週水曜日 火曜-金曜まで連日血液培養陽性の介入カンファ(ASTカンファレンス)を11時より実施しています。 15時から細菌検査室でレクチャーやってます sakaiinfectionというblogで細菌検査レクチャーの内容を公開しています。

グラム染色のまとめと考察

#39.

何かわかりますか? (一部酵母はいますが)脱色不良 クリスタルバイオレットの結晶化したもの

#40.

まとめ まずは肉眼的に炎症が起こっているのか?をみる 背景を見てその検体が適正なものかを考える その上で菌らしいものがあればその特徴を言語化しつつ、自分の中の基準と比較する 上記を繰り返し、かつ答え合わせ(後日に菌名は判明) マジで地道だし、AIが取って代わるところだと信じて疑わないが、背景を観察することで病態が見えてくるという非常に面白みがあるものだと考えています。知らんけど

Antaa Slide

医師・医学生のためのスライド共有

Antaa QA

医師同士の質問解決プラットフォーム

App StoreからダウンロードGoogle Play Storeからダウンロード

会社概要

Antaa, Inc. All rights reserved.

Follow us on Facebook
Follow us on Twitter