医師・医学生のためのスライド共有

Antaa Slide
診療科
特集

お知らせ

ログイン
炎症性大動脈瘤を見たら? L1.png

関連テーマから出会おう。

閲覧履歴からのおすすめ

Antaa Slide
診断AIから生成AIへと進む 医療AIの現在と未来を 臨床から考える

診断AIから生成AIへと進む 医療AIの現在と未来を 臨床から考える

小寺 聡

続けて閲覧
Drゆみの Weekly Journal Scan 特別編

Drゆみの Weekly Journal Scan 特別編

医療法人社団ゆみの

続けて閲覧

1/24

関連するスライド

診断AIから生成AIへと進む 医療AIの現在と未来を 臨床から考える

診断AIから生成AIへと進む 医療AIの現在と未来を 臨床から考える

小寺 聡

2232

5

Drゆみの Weekly Journal Scan 特別編

Drゆみの Weekly Journal Scan 特別編

医療法人社団ゆみの

4528

3

Drゆみの Weekly Journal Scan vol.29

Drゆみの Weekly Journal Scan vol.29

医療法人社団ゆみの

1168

2

炎症性大動脈瘤を見たら?

投稿者プロフィール
石上雄一郎

飯塚病院 連携医療・緩和ケア科

53,297

85

概要

大動脈瘤の患者が発熱しているときに何を考えますか?ICUで経験した症例からまとめました。

本スライドの対象者

研修医

投稿された先生へ質問や勉強になったポイントをコメントしてみましょう!

0 件のコメント

コメントするにはログインしてください

関連するスライド

診断AIから生成AIへと進む 医療AIの現在と未来を 臨床から考える

診断AIから生成AIへと進む 医療AIの現在と未来を 臨床から考える

小寺 聡

小寺 聡

2,232

5

Drゆみの Weekly Journal Scan 特別編

Drゆみの Weekly Journal Scan 特別編

医療法人社団ゆみの

医療法人社団ゆみの

4,528

3

Drゆみの Weekly Journal Scan vol.29

Drゆみの Weekly Journal Scan vol.29

医療法人社団ゆみの

医療法人社団ゆみの

1,168

2

2026.2.19【聖路加式】頻脈徐脈のすべて

2026.2.19【聖路加式】頻脈徐脈のすべて

常見勇太

常見勇太

45,550

229


石上雄一郎さんの他の投稿スライド

すべて見る


テキスト全文

炎症性大動脈瘤の概要とリスク因子

#1.

炎症性大動脈瘤 6 TBMC ED PGY 石上 雄一郎

#2.

腹部大動脈瘤(AAA) 大動脈瘤とは大動脈の一部の壁が全周性、または局所性 に拡大または突出したもの 直径が正常径の1.5倍(腹部大動脈は正常が2cm 動脈硬化性が80-90% 続いて炎症性/感染性/先天性 高齢・男性・喫煙が3大リスク 動脈硬化性は無症状 炎症性/感染性は有症状 イ ライン (2011 年改訂版) ) ド ガ 日循 大動脈瘤・大動脈解離診療

感染性大動脈瘤の特徴と治療

#5.

感染性大動脈瘤 大動脈瘤の1-3% 死亡率は23.5%〜37% 血液培養は50-85%陽性(25-50%陰性) 起因菌:①Staphylococcus aureus ②Salmonera.sp 梅毒・結核・Q熱・真菌(カンジダetc 腎動脈以下 腹部大動脈(42%)胸部(32%)腹部分岐付近(26% ) Surgery 1996;119:129-32 p ) 抗生剤初期投与:CTRX or FQ or PIPC/TAZ + VCM

炎症性大動脈瘤の症状と診断

#6.

炎症性大動脈瘤(IAAA) 1972年にWalkerらが提唱した概念 Br J Surg 1972; 59:609-614. 腹部大動脈瘤の 5-10 % をしめる Ann Surg 1997; 225: 155-164 厚い動脈瘤壁(1cm以上 J Vasc Surg. 1985;2(6):859 広範な動脈瘤周囲と後腹膜の繊維化 隣接する腹部臓器との癒着 An article from the E-Journal of the ESC Council for Cardiology Practic e ) Vol.7,N°10 - 18 Nov 2008

#7.

炎症性大動脈瘤(IAAA) ①腹痛/背部痛②体重減少③ESR/CRPの上昇 機序は“In ammatory variant”と推定されている 65-90%が有症状(アテローム性は8-18% 25%が拍動性 53%が尿管圧迫 (18-21% 慢性腎障害 術前診断は13-33% An article from the E-Journal of the ESC Council for Cardiology Practic ) e ) fl Vol.7,N°10 - 18 Nov 2008

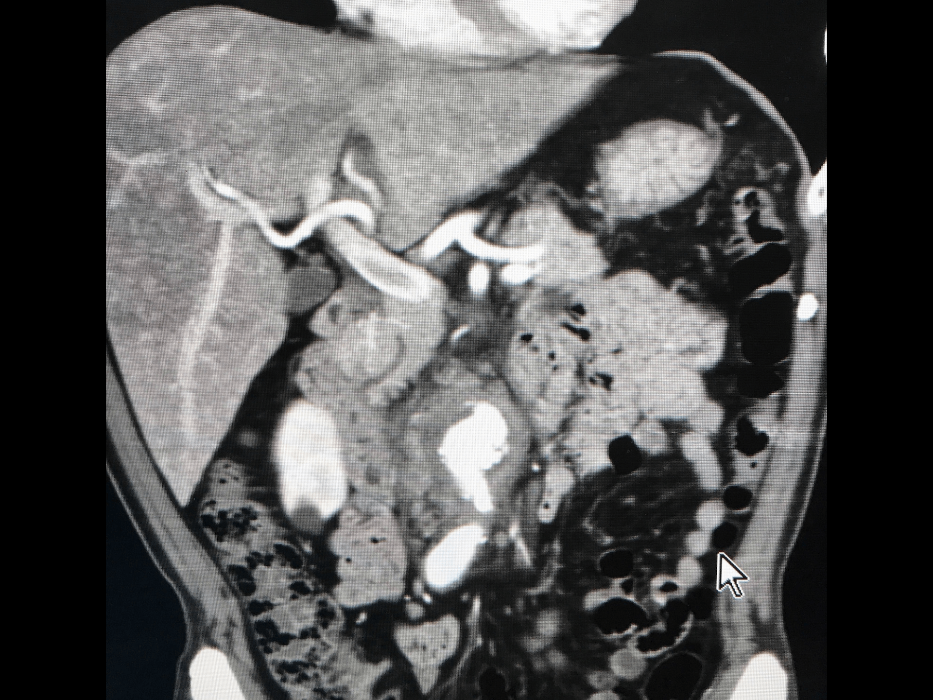
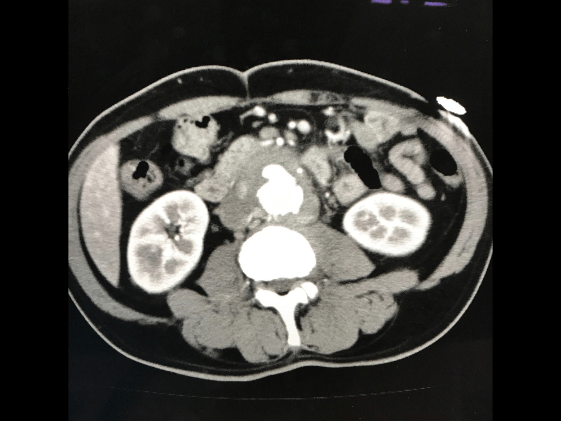
画像診断における炎症性大動脈瘤の評価

IgG4関連疾患とその影響

#10.

IgG4関連疾患(IgG4-RD) 全身の臓器に炎症細胞(リンパ球、形質細胞)の 浸潤を伴う線維性病変を形成 5大臓器 膵臓(AIP 唾液腺(MIkulicz 涙腺(MIkulicz 腎臓(後腹膜線維症 Ann Rheum Dis 2017 7: e46 originally published online March 10, 2017 ) ) ) ) 大動脈

#11.

IgG4関連疾患(IgG4-RD) 1. Serology : IgG, IgG4高値 IgG4≧135mg/d 2. Radiology: 画像所見 単体臓器, 多臓器のびまん性/局所性の腫大, Mas 3. Pathology: ゴールドスタンダード Ly, 形質細胞の浸潤と線維化 s l Mod Rheumatol (2012) 22:21–30 Ann Rheum Dis 2017 7: e46 originally published online March 10, 2017

#12.

IgG4関連大動脈瘤 炎症性大動脈瘤の50%はIgG4関連 炎症が強いため外膜が肥厚する(破裂リスクは低い)

#13.

IgG4関連大動脈瘤 “大動脈周囲炎 気管支喘息は30%で合併 IgG4高値/IgE高値/ANA高値(>320倍 症状は非IgG4関連IAAAに比べると少ない 治療はPSL40mg/dayを考慮 予後はおそらく良好 ) ” J Vasc Surg. 2009 May;49(5):1264-71 Rheumatol 2011;23:88-94

血管炎とその関連疾患の理解

#14.

CHCC 2012 多彩な血管を侵す(VVV ベーチェット病 コーガン症候群 http://www.anca-aav.com/contents/hp0051/index.php?No=55&CNo=51 ) 血管炎

#15.

45%がIAAとなる 感音性難聴 角膜炎 20-30代 膠原病内科 野村先生のスライド

#16.

膠原病内科 野村先生のスライド

ベーチェット病の症状と診断基準

#17.

膠原病内科 野村先生のスライド

#18.

ベーチェット病 主症状 口腔内潰瘍(95% 陰部潰瘍(60% 眼症状(50% 皮膚症状(80%) ベーチェット病は4つの主症状と5つの副症状の組み合わせにより 完全型/不全型の診断がなされる ) ) ) Medicine (Baltimore). 2011 Mar;90(2):125-32.

#19.

血管ベーチェット病 診断基準+血管病変(副症状)を合併する特殊型 動脈も静脈も侵す。拡張→動脈瘤 閉塞→血栓 ベーチェット病の4%に動脈瘤を合併する 安易に血行再建すると吻合部動脈瘤により致命的になる 活動期・重症度評価 免疫抑制剤・ステロイドで治療 https://www.jstage.jst.go.jp/article/shinzo/44/9/44̲1124/̲pdf

炎症性大動脈瘤の治療方針

#20.

炎症性大動脈瘤の治療 Class Ⅰ 50mm以上は積極的適応 人工血管置換(Level C) Class Ⅱ 40mm以上で手術適応を考慮(Level C) 副腎皮質ホルモン剤の使用(Level C) ステントグラフトの適用(Level C) ド ガ 日循 大動脈瘤・大動脈解離診療 イ ライン (2011 年改訂版)

#21.

炎症性大動脈瘤を疑ったら 感染の否定(血液培養/梅毒/QFT IgG4関連 ANA / IgG4 測定 血管炎 RF / ANCA CRP(ESR)測定 関節炎/ぶどう膜炎/角膜炎/口内炎/腸管病変/BHLな ど血管炎の身体所見をcheck ) IgG4関連であればPSL40mg/dayから治療

炎症性大動脈瘤の種類と治療法の比較

#22.

AAA アテローム性 炎症性 感染性 頻度 85-90% 5-10% 1-3% 症状 無 有 有 原因 高齢/男性/喫煙 形状 紡錘状 紡錘状(mantle) 嚢状(不整) 手術 ステロイド 手術 抗生剤 手術 治療 4 ブ菌/サルモネラ IgG 非IgG4(血管炎) 梅毒/結核/真菌

#23.

参考文献 ・日循 大動脈瘤・大動脈解離診療 イ ライン (2011 年改訂版) ・心臓 Vol.44 No.9(2012) ・遠隔画像診断 ・ ESC Council for Cardiology Practice Vol.7,N°10 - 18 Nov 200 ・Circulation. 2008;117:3039-3051 ・Medicine (Baltimore). 2011 Mar;90(2):125-32 ・N Engl J Med 2012; 366:539-55 ・http://hospitalist-gim.blogspot.jp/2014/06/igg4_4713.html 8 . ド . ガ 1 ・膠原病内科野村先生のスライド

Antaa Slide

医師・医学生のためのスライド共有

Antaa QA

医師同士の質問解決プラットフォーム

App StoreからダウンロードGoogle Play Storeからダウンロード

会社概要

Antaa, Inc. All rights reserved.

Follow us on Facebook
Follow us on Twitter