医師・医学生のためのスライド共有

Antaa Slide
診療科
特集

お知らせ

ログイン
咽頭痛へのアプローチ~風邪と診断する前に L001.png

関連テーマから出会おう。

閲覧履歴からのおすすめ

Antaa Slide
救急専門医が教える怖い咽頭痛〜まずすべき対応〜

救急専門医が教える怖い咽頭痛〜まずすべき対応〜

masa1019@救急科、内科

続けて閲覧
総合診療医が考える「公文書偽造にならない死亡診断書作成」と「適切な通報のための医師法21条の解釈について」

総合診療医が考える「公文書偽造にならない死亡診断書作成」と「適切な通報のための医師法21条の解釈について」

びりー

続けて閲覧

1/35

鼻副鼻腔炎診療における思考の分岐点

関連するスライド

救急専門医が教える怖い咽頭痛〜まずすべき対応〜

救急専門医が教える怖い咽頭痛〜まずすべき対応〜

masa1019@救急科、内科

130784

580

咽頭痛へのアプローチ~風邪と診断する前に

投稿者プロフィール
島田利彦

医仁会武田総合病院

130,567

284

概要

一般外来、時間外救急等で遭遇する咽頭痛の評価方法を学習する。重篤な疾患に加えて、比較的稀な疾患についても知っておく。初期研修医向け。

本スライドの対象者

研修医/専攻医/専門医

投稿された先生へ質問や勉強になったポイントをコメントしてみましょう!

0 件のコメント

コメントするにはログインしてください

関連するスライド

救急専門医が教える怖い咽頭痛〜まずすべき対応〜

救急専門医が教える怖い咽頭痛〜まずすべき対応〜

masa1019@救急科、内科

masa1019@救急科、内科

130,784

580

総合診療医が考える「公文書偽造にならない死亡診断書作成」と「適切な通報のための医師法21条の解釈について」

総合診療医が考える「公文書偽造にならない死亡診断書作成」と「適切な通報のための医師法21条の解釈について」

びりー

びりー

2,667

7

〔喀血診療指針解説〕第2回:なぜその対応を選ぶのか?エビデンスから理解する喀血診療実践 Antaaウェビナー2026/3/10

〔喀血診療指針解説〕第2回:なぜその対応を選ぶのか?エビデンスから理解する喀血診療実践 Antaaウェビナー2026/3/10

石川秀雄

石川秀雄

13,680

71

研修医に知ってほしい血ガスの読み方!

研修医に知ってほしい血ガスの読み方!

永井友基

永井友基

1,052,003

2,256


島田利彦さんの他の投稿スライド

すべて見る


テキスト全文

咽頭痛へのアプローチと症例紹介

#1.

Essential & effortless ‘風邪!’ その前に咽頭痛へのアプローチ 2022/05/25 淡海医療センター 

#2.

症例1.   51歳男性 発熱、咽頭痛 喉の痛みが昨日から出現。喀痰は普段からあり、変化はなし。安静にしていたが、咽頭痛が強く、鼻閉に加えて発熱もあり救急要請救急隊によると、脳梗塞の既往有り 搬送後救急車から下車し、救急外来まで徒歩で入室 内服薬: プラビックス、マニジピン、ニルバジピン、ベザフィブラート、セタプリル 喫煙歴:昨日まで20本以上吸っていた

#3.

身体所見 BT 39.1℃, BP 150/118mmHg, HR 100/min SpO2 96%(RA), RR 20/min  会話可能、シックではない咽頭: 咽頭やや発赤、 扁桃腫脹なし 頸部: 圧痛なし胸部: 呼吸音清腹部: 平坦、軟、圧痛なし、反跳痛無し 

血液検査結果と診断の流れ

#4.

WBC 18300 RBC 606×104 Hb 18.3 Hct 55.3 MCV 91.3 Plt 22.1×104 CRP mg/dl 4.43 H TP g/dl    7.4 ALB g/dl    4.6 T-BIL mg/dl 0.7 D-BIL mg/dl 0.3 AST IU/l 18 ALT IU/l 27 ALP IU/l 178 LD IU/L 277 H γ-GTP IU/L 113 H CHE IU/L 352 T-CHO mg/dl 215 LDL-C mg/dl 127 Na mEq/l 140 K mEq/l 4.0 Ca mg/dl 10.1 Cl mEq/l 105 BUN mg/dl 10.5 UA mg/dl 4.4 CRE mg/dl 0.78

#5.

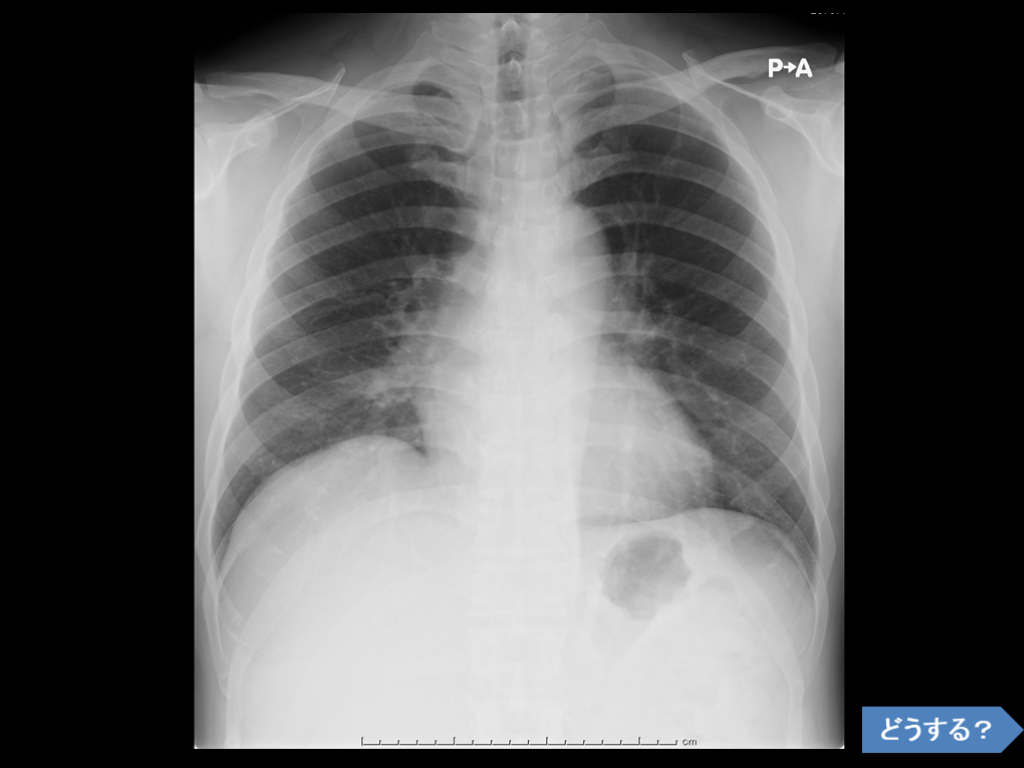
どうする?

#6.

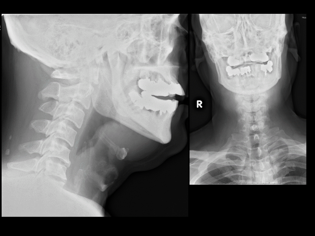
上記で脳外科クリニックから耳鼻科に紹介あり。 ファイバーでも咽頭後壁に腫脹あり、外科的排膿試みられたが、明らかな膿は認められなかったため内科に対診。 意識は清明で元気。 症例2.  生来健康な38歳男性 近医の脳神経外科開業医から当院耳鼻科へ紹介 『 昨日昼頃から頸部痛が強くなり、夜間救急病院を受診し鎮痛剤を処方されましたが改善せず、今朝当院を受診されました。左胸鎖乳突筋付近に圧痛があり、頚部MRIを撮影しましたところ、後咽頭間隙に膿瘍を疑う所見を認めました。脊椎・脊髄には異常所見を認めません。お忙しいところ申し訳ありませんが、貴科的な精査加療のほどよろしくお願いします 』

咽頭痛・頸部痛の評価と管理

#7.

採血結果

#8.

その他の病歴 昨日はロキソニンとミオナールを処方されたが効果なし のどが痛くてツバも飲めない 嗄声なし 発熱、鼻汁、咳、痰、呼吸困難なし 普段からよく首をグキグキならしているが、他に事故等の外傷歴なし どうする?

#9.

咽頭痛・頸部痛へのアプローチ

#10.

「のどが痛い」一番に意識すべきことは? Airway assessment   上気道閉塞のリスク評価   →  Airway managementへ  全体的な印象・全身状態  疼痛部位の詳細な診察  特別に考慮すべき病歴・既往はないか    そして原因・鑑別診断だが‥

咽頭痛の鑑別診断と注意点

#12.

2つの軸 1.  Must rule out / Worst case scenario  除外すべき最悪のケースを除外 2.  Common / probable  風邪症候群、咽頭炎 (ウイルス性上気道炎)

#13.

Killer sore throat    頻度は少なめ

#14.

まずRed flag signを確認 開口障害(牙関緊急) 呼吸困難・喘鳴(stridor) 流唾や嚥下困難 発語困難や嗄声 Hot potato voice (扁桃周囲膿瘍) バイタルサインの崩れ(SpO2など)

#15.

Strep throatCentor criteria 治療可能な溶連菌性扁桃腺炎のprediction rule 0-1点:迅速検査なし 抗菌薬処方なし 2-3点:迅速検査(Se80-90% ,Sp 90%-)で陽性なら抗菌薬 4点(50%): 抗菌薬処方(検査しても良い):AMPC 1500mg*

その他の咽頭痛の原因と症例

#16.

ここまでみてから‘風邪(ウイルス性上気道炎)かな?’と考える

#17.

その他の咽頭痛の原因 Infectious Mononucleosis (ARS/HIV含む)      亜急性甲状腺炎 化膿性甲状腺炎  12歳以下で右側に多い TSS, TSLS Stevens-Johnson    川崎病     AOSD   唾石症、唾液腺炎 Crown Dens Syndrome,  石灰化頸長筋腱炎 2022/5/27 さらにこんなものも

#18.

Question break : 66歳 生来健康な女性  今朝まで特に問題なかった。最近はやや疲れが溜まっており、食事は十分に取れていなかった。スーパーでパートをしており、仕事が終わったときに、急に咽頭違和感が出現し、さらに気分不良・眼前暗黒感・閃光点を認め、しゃがみこんだため周囲が救急要請。 救急隊到着時、介添で歩行は可能であった。 飲酒なし タバコ 15本/日 18歳~ 来院時には咽頭の違和感を訴えるのみでその他の症状なし 滋賀医大救急科 加藤隆之Drの担当症例より

突発性咽頭違和感の症例検討

#19.

Question break : 66歳女性 咽頭違和感 BP 142/85mmHg, 91/min reg 意識清明でsickではない、呼吸促迫なし 視診・触診で頚部に明らかな異常を認めない 脳神経: 眼球運動np 上部/下部顔面筋 np   舌運動ok 顔面感覚 np 【L/D】 CBC 特記事項なし WBC上昇なし 電解質、腎・肝機能問題なし CK上昇なし 【頭部CT】  特記事項なし 【胸部CT】  左乳腺にsoft tissue density mass 乳癌の疑い

#20.

帰宅させられそうだが、見直すと‥ 突発性咽頭違和感で発症した大動脈解離

急性喉頭蓋炎の症例と治療

#21.

提示症例は?

#22.

症例1: 51歳男性 家族曰く、声がいつもと違うと

#24.

耳鼻咽喉科コール 抗生剤とステロイドで保存的に加療 急性喉頭蓋炎

石灰沈着性頸長筋腱炎の解説

#25.

症例2: 38歳男性 明らかに嚥下時痛あり MRI所見もあるが、感染ははっきりしない どうする?

#26.

石灰沈着性頸長筋腱炎 Crown dense syndromeとは違うよ

#27.

ハイドロキシアパタイトによって惹起される腱付着部炎 肩関節・腱板におこる石灰沈着性腱炎と同様の病態 比較的若年者、20~50 歳に好発し、急性の項頚部痛、頚部運動制限、嚥下時痛などを認める。血液検査でCRP上昇を認めることもある。 頚長筋腱の過使用に伴い、同部への石灰沈着が起こる。吸収過程で炎症が惹起される。 CTでは頚長筋腱付着部(環椎前)付近の石灰化や後咽頭間隙の拡大を認める。MRI では後咽頭間隙の液体貯留 ないし軟部組織腫脹がT2 高信号域として認められる。 咽後膿瘍などと間違えられるが、外科的処置は必要とせず、安静とNSAIDs により約1-2 週間で治癒し石灰化も消失する 石灰沈着性頸長筋腱炎

解剖と画像評価の重要性

#29.

裂隙 3層構造  https://entokey.com/4-anatomy-of-the-transoral-robotic-retropharyngeal-node-dissection/ 危険隙    横隔膜までつながる   → 縦隔炎のリスク 椎体前隙    尾骨まで

#30.

頸部側面レントゲン 原典不明

#31.

頸部側面写真  ABCD  3×7=21

#32.

喉頭蓋炎の画像 USでの評価も試みられている J of Gen and Family Med. 2020

#33.

Thumb sign 喉頭蓋の腫脹 (AとBの矢印) Narrowed vallecula 狭い喉頭蓋谷 (AとBの矢頭) BMJ Case Reports 2016 ©2016 by BMJ Publishing Group Ltd

#34.

Take home points 常にKiller sore throat を意識する

Antaa Slide

医師・医学生のためのスライド共有

Antaa QA

医師同士の質問解決プラットフォーム

App StoreからダウンロードGoogle Play Storeからダウンロード

会社概要

Antaa, Inc. All rights reserved.

Follow us on Facebook
Follow us on Twitter