医師・医学生のためのスライド共有

Antaa Slide
診療科
特集

お知らせ

ログイン
A case of fever L001.png

関連テーマから出会おう。

閲覧履歴からのおすすめ

Antaa Slide
行動経済学で学ぶ 医療現場と感染症 in Antaa X’mas2025

行動経済学で学ぶ 医療現場と感染症 in Antaa X’mas2025

武藤義和

続けて閲覧
血液培養のトリセツ

血液培養のトリセツ

永井友基

続けて閲覧

1/28

関連するスライド

行動経済学で学ぶ 医療現場と感染症 in Antaa X’mas2025

行動経済学で学ぶ 医療現場と感染症 in Antaa X’mas2025

武藤義和

3201

17

血液培養のトリセツ

血液培養のトリセツ

永井友基

51389

443

梅毒 overview

梅毒 overview

長谷川耕平

233743

613

A case of fever

投稿者プロフィール
武藤義和

公立陶生病院

1,551

3

概要

A case of fever

本スライドの対象者

専攻医/専門医

投稿された先生へ質問や勉強になったポイントをコメントしてみましょう!

0 件のコメント

コメントするにはログインしてください

関連するスライド

行動経済学で学ぶ 医療現場と感染症 in Antaa X’mas2025

行動経済学で学ぶ 医療現場と感染症 in Antaa X’mas2025

武藤義和

武藤義和

3,201

17

血液培養のトリセツ

血液培養のトリセツ

永井友基

永井友基

51,389

443

梅毒 overview

梅毒 overview

長谷川耕平

長谷川耕平

233,743

613

2025.12.5時点のCOVIDとインフルエンザのまとめ

2025.12.5時点のCOVIDとインフルエンザのまとめ

新米ID

新米ID

2,098,181

6,584


武藤義和さんの他の投稿スライド

すべて見る


テキスト全文

発熱症例の概要と入院経過

#1.

A case of fever Tosei General Hospital Infectious Disease Dept. Dr. Yoshikazu Mutoh

#2.

84yo Japanese Male In July 20XX, the patient fell down in his home and suffered pain in the left hip joint, causing difficulty in walking. He came in for further examination and was admitted with a left neck of femur fracture. The fracture was reduced and fixated using an open approach, but the post-OP X-ray showed signs of right lung field pneumonia. Consultation with pulmonology was indicated. For screening purposes: β-D-glucan was measured at 179.5pg/mL (high). Blood culture was positive for C. glabrata and was diagnosed as mycosis of unknown cause. MCFG 150mg/day was implemented for 2 weeks. The patient was discharged in August 20XX after a negative blood culture.

入院時のCXRと経過観察

#3.

CXR at admission C. glabrata drug susceptibility (CLSI M27-A3) Drug

#4.

And then… December 20XX: follow-up in the outpatient department. The patient did not have any further complaints but an increase in β-D-Glucan 347.4pg/mL was noted. As such, follow-up scheduled 2 weeks later. On the day before the appointment, the patient fainted and sustained a concussion in the occipital region. At the time of the appointment, he did not have any fever. Since his condition was stable, a blood culture was taken, and he was sent home. Two blood culture sets became positive for yeast 4 days later.

身体検査と鑑別診断の考察

#5.

Present History and Physical Examination BT 35.7℃ HR 89bpm SpO2 100%(room air) BP 106/74 mmHg RR 20/min Consciousness level: E4V5M6 Head/neck: Light reflex +/+ symmetrical, no nystagmus, no diplopia/eye field disturbance, no HEENT abnormalities Chest: regular breathing sounds, systolic murmur LevineⅡ° Abdomen: regular peristalsis, no apparent pain/tenderness Limbs: right arm hemiparesis (several years ago), no edema, no skin eruptions Height:166cm Weight:47kg Past history: folate deficiency anemia, hepatic hemangioma, right femoral neck fracture, pulmonary TB (40y ago) Non-smoker, drinks socially No known allergies No medications

#6.

Examination Findings

#7.

CXR on Admission

#8.

Blood Culture Gram Stain

#9.

What are the possible differential diagnoses? What additional investigations / treatment options should be considered?

#10.

Differential Diagnosis # Recurrence of yeast in the blood culture: S/O → recurrence of C. glabrata Others: Candida spp. Cryptococcus Trichosporon, Rhodotorula, etc. # High levels of β-D-Glucan: → Unlikely Cryptococcus, Mucor spp. Other causes to exclude: Drug-induced, residual gauze pad in wound, antibiotic use, contamination during sample collection. # Recent femoral fracture: Infection from foreign body # Lightheadedness: brain abscess, malignant tumor metastasis, cerebral hemorrhage, cerebral infarction Plan ・identify the organism in the culture ・further investigation for signs of disseminated disease (ophthalmologic examination, echocardiogram, full body CT, lumbar puncture, spinal column MRI) ・begin antifungal treatment

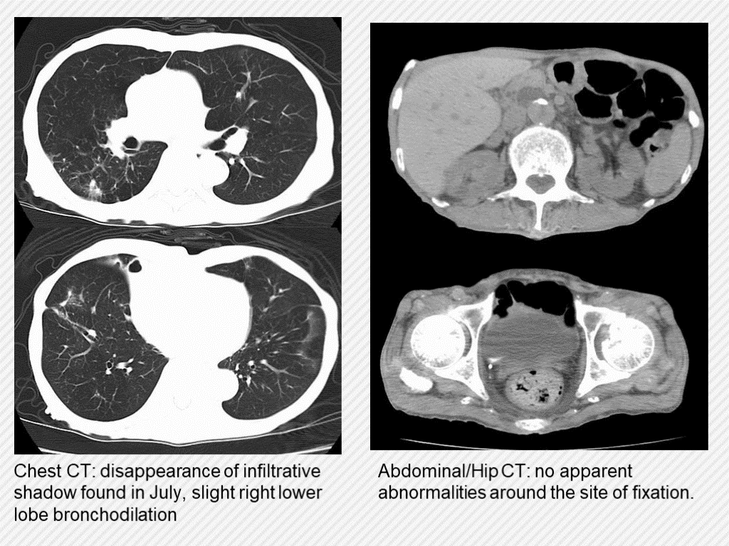
画像診断結果と所見

#11.

Chest CT: disappearance of infiltrative shadow found in July, slight right lower lobe bronchodilation Abdominal/Hip CT: no apparent abnormalities around the site of fixation.

#12.

Head MRI: previous (old) microscopic cerebral infarct. No other abnormalities.

眼科的所見と心エコー結果

#13.

Ophthalmologic Findings Presence of glaucoma but no apparent intraocular inflammation.

#14.

Echocardiogram Vegetative growth on the tricuspid valve with leaflet thickening

#15.

#Yeast detected in the blood culture #Vegetative growth on the tricuspid valve #Valve leaflet thickening #High levels of β-D-glucan #Recent neck of femur fracture #Lightheadedness What is the treatment? Problem List

治療計画と最終診断

#16.

16 14 12 10 8 6 4 2 0 1 7 (℃) 39 CRP WBC T 38.5 38 37.5 37 36.5 36 35.5 35 14 21 28 35 42 49 56 63 6970 Day1 Begin MCFG150mg/day Day3 Follow-up blood culture: yeast positive (Day) Ad MCFG150mg/day Day6 Another follow-up blood culture: yeast positive (mg/dL, ×103/μL)

#17.

Susceptibility Results (CLSI M27-A3) Which antifungal should be used?

#18.

Susceptibility test, M27-A3 as the reference. Using M27-S4 as the reference, we can conclude the development of MCFG resistance. The cause of the persistent positive culture can be due to this resistance. Thus, we began L-AMB / 5-FC combination drug therapy. July 20XX December 20XX

#19.

7 14 (mg/dL, ×103/μL) 16 14 12 10 8 6 4 2 0 (℃) 39 CRP WBC T 38.5 38 37.5 37 36.5 36 35.5 35 21 28 35 42 49 56 63 70(Day) ENT βDグルカン(pg/mL) day1 1300 day22 1194 ABPC/SBT 3g/q12h VRCZ p.o 1 Ad Negative blood culture MCFG150mg/day L-AMB 5mg/kg/day 5-FC 2000mg/day

#20.

Final Diagnosis #1 Recurrent C. glabrata bloodstream infection #2 Development of MCFG resistance in C. glabrata #3 Infective endocarditis What is the next treatment plan?

カンジダ感染症の疫学とリスク要因

#21.

16 14 12 10 8 6 4 2 0 1 7 28 35 42 49 56 63 CRP WBC T (mg/dL, ×103/μL) (℃) 39 38.5 38 37.5 37 36.5 36 35.5 35 MCFG150mg/day 5-FC 2000mg/day ABPC/SBT 3g/q12h VRCZ p.o 70(Day) ENT Ad L-AMB 5mg/kg/day 14 21 Negative blood culture

#22.

As the patient did not desire surgical intervention, continuous VRCZ treatment was recommended with outpatient follow-up. Echocardiogram 3mo later:tricuspid valve thickening was still present

#23.

Non-Symptomatic Candidiasis Candida bloodstream infection: only 26% of patients have a fever above 37°C on admission. The American Journal of Medicine (2016) 129, 1330.e1- 1330.e6 Crit Care. 2009; 13(5): R156.

#24.

Candida Infective Endocarditis C. albicans is the causative agent in over 50% of Candida bloodstream infections. C. glabrata only accounts for 9-12% of cases. Clin Microbiol Rev. 2007 Jan; 20(1): 133–163. Only 1-2% of infective endocarditis is caused by Candida spp. Antimicrob Agents Chemother. 2015 Apr; 59(4): 2365–2373. Only 2.5-3.1%. of IE cases involve the tricuspid valve. Int J Infect Dis. 2009 May; 13(3):e109-11. Risk of Candida IE: - recent surgery, artificial heart valve - IVDU, intravenous nutrition, central venous line - immunocompromised state, immunosuppressant therapy - broad spectrum antibiotics therapy - bone marrow transplant Braz J Cardiovasc Surg 2016;31(3):252-5. Mortality of Candida IE is relatively high (14-41%) Cause of death: kidney injury, persistent bacteremia, peripheral blood vessel injury, large vegetative growth (>2cm). Int J Clin Exp Med 2014;7(1):199-218.

MCFG耐性の発展と治療戦略

#25.

MCFG Susceptibility Test Rev. Inst. Med. Trop. Sao Paulo, 56(6): 477-82, 2014. The CLSI standard M27-A3 was revised to the M27-S4 standard in 2012. As such, an increase in resistance (x2.4) was observed in Candida spp. Due to the change in the breakpoint, MCFG resistance in C. glabrata increased from 0.8% to 7.6%. The development of MCFG resistance is attributed to a mutation in the FKS gene, which is caused by exposure to antifungal drugs. Concomitant azole resistance is also common in C. glabrata. J Clin Microbiol. 2014 Mar; 52(3): 994–997. Clin Infect Dis. 2015 Dec 1; 61(Suppl 6): S612–S617.

#26.

Optimal Treatment Period ・Surgical intervention should be considered within 1w of diagnosis of Candida IE ・If echinocandins are considered for treatment, high dose is recommended. ・Post-OP: continue treatment for 6-8 weeks ・If artificial valve replacement is contraindicated: long-term antifungal treatment is recommended. Med Mycol. J. Vol. 57E, E117 – 163, 2016. Clinical Infectious Diseases 2016;62(4):e1–50. Curr Opin Infect Dis 2013, 26:501–507. 【Candida glabrata 】 • Monotherapy of one of the following drugs: ① L-AMB ② MCFG ③CPFG • Or L-AMB + 5-FC combination therapy for several weeks (In order to prevent resistance that may develop from monotherapy regimens) • Long-term therapy: consider FLCZ. • In case of antifungal resistance: consider VRCZ

#27.

Candida IE is a rare disease with a high mortality rate. It is imperative to begin treatment immediately after diagnosis. If surgical intervention is contraindicated, long-term antifungal treatment is necessary. When choosing the appropriate antifungal treatment, it is important to consider the results of the antifungal susceptibility test and to reference previous medical cases. Inappropriate antifungal treatment has caused an increase in MCFG resistance in Candida glabrata. Careful treatment planning is crucial to prevent further development of drug resistance strains.

Antaa Slide

医師・医学生のためのスライド共有

Antaa QA

医師同士の質問解決プラットフォーム

App StoreからダウンロードGoogle Play Storeからダウンロード

会社概要

Antaa, Inc. All rights reserved.

Follow us on Facebook
Follow us on Twitter