医師・医学生のためのスライド共有

Antaa Slide
診療科
特集

お知らせ

ログイン

このスライドは会員限定コンテンツです。
今すぐアカウント登録(無料)して、続きを読みましょう!

肥大心を診断する魅力 L001.png

すでにアカウントをお持ちの方はこちら

1/23

第12回日本心筋症研究会

関連するスライド

〔喀血診療指針解説〕第1回:リスクの高い喀血を見逃さない緊急度判定と救命のための初動 Antaaウェビナー2026/2/24

〔喀血診療指針解説〕第1回:リスクの高い喀血を見逃さない緊急度判定と救命のための初動 Antaaウェビナー2026/2/24

石川秀雄

22969

67

肥大心を診断する魅力

投稿者プロフィール
山野 倫代

京都府立医科大大学 大学院医学研究科 循環器・腎臓内科学

5

1

概要

心筋肥大を呈する疾患の診断と治療を体系的に解説。トランスサイレチン型心アミロイドーシス(ATTR-CM)の予後や最新の安定化薬、肥大型心筋症(HCM)に対するミオシン阻害薬などの薬物療法を詳述します。また、原発性アルドステロン症による二次性肥大の改善例など、豊富な症例提示を通じて診断の魅力を紹介。第12回日本心筋症研究会の開催に合わせ、心筋症を「治す」ための最新知見を整理します。

e-casebook (https://www.e-casebook.com/feature/shinkin2026 )

参考文献

  • ESC Heart Fail 2020;7:2829-37

  • JCS guidelines 2020

  • Circulation 2019;140:16-26

  • EHJ 2021;42:1554-1568

  • J Am Coll Cardiol 2016;67:1399-1409

  • J Am Coll Cardiol 2021;77:2159-2170

  • J Am Coll Cardiol 2022;80:95-108

投稿された先生へ質問や勉強になったポイントをコメントしてみましょう!

0 件のコメント

コメントするにはログインしてください

関連するスライド

〔喀血診療指針解説〕第1回:リスクの高い喀血を見逃さない緊急度判定と救命のための初動 Antaaウェビナー2026/2/24

〔喀血診療指針解説〕第1回:リスクの高い喀血を見逃さない緊急度判定と救命のための初動 Antaaウェビナー2026/2/24

石川秀雄

石川秀雄

22,969

67

トライアングルモデルで考える EGFR遺伝子変異陽性肺癌治療

トライアングルモデルで考える EGFR遺伝子変異陽性肺癌治療

虎澤匡洋

虎澤匡洋

50,568

115

HBV再活性化について

HBV再活性化について

岡田真央

岡田真央

3,730

31

腎臓が悪い患者に出会ったら

腎臓が悪い患者に出会ったら

ねこすけ

ねこすけ

37,575

223



テキスト全文

肥大心の診断とアミロイドーシスの概要

#1.

肥大心を診断する魅力 京都府立医科大学 循環器内科 山野倫代

#2.

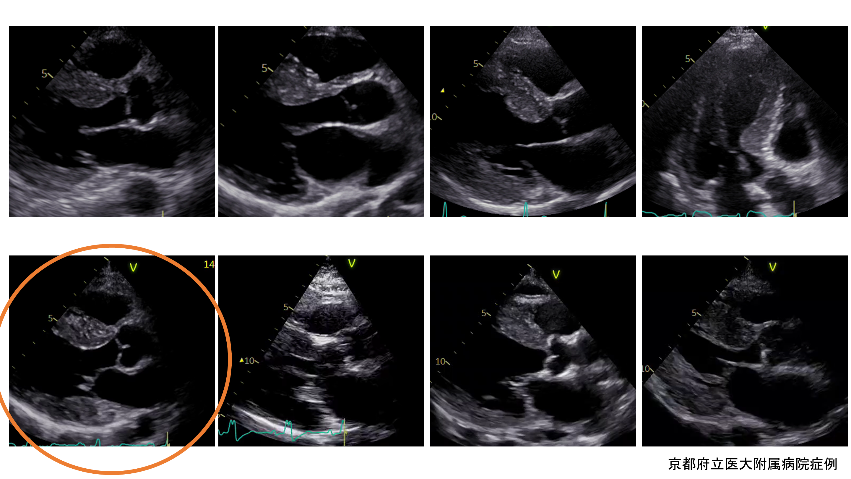
京都府立医大附属病院症例

#3.

アミロイドーシス 前駆蛋白質が, アミロイド線維を形成し, 全身の様々な臓器に沈着することで機能障害を起こす疾患. アミロイド前駆物質は30種類以上同定されている. 心臓に蓄積     免疫グロブリン軽鎖     トランサイレチン (TTR)     アミロイドA蛋白 四量体として 挙動 加齢や遺伝変異で 不安定になり,単量体へ. TTR アミロイド線維

JCSガイドライン2020と治療法

京都府立医大の症例と肥大型心筋症

心エコー図とLVOTの評価

心筋の構造と機能に関する研究

原発性アルドステロン症の診断アルゴリズム

心筋症診療の新展開と次回会議の案内

会員登録・ログインで「スライド内のテキスト」を参照いただけます。

Antaa Slide

医師・医学生のためのスライド共有

Antaa QA

医師同士の質問解決プラットフォーム

App StoreからダウンロードGoogle Play Storeからダウンロード

会社概要

Antaa, Inc. All rights reserved.

Follow us on Facebook
Follow us on Twitter